Zahn-Implantatbrücke
Ein Klick auf das Praxislogo bringt Sie immer zur 1. Seite zurück.
Die Bilder sind alle zur Vergrößerung anklickbar!
Zahn-Implantatbrücke
Eine Zahn-Implantatbrücke verbindet einen natürlichen Zahn und ein Implantat als gemeinsame Pfeiler für eine festsitzende Brücke. Sie kommt in Frage, wenn in einer Zahnlücke ein Implantat gesetzt wurde und der benachbarte natürliche Zahn gleichzeitig überkront werden muss – etwa wegen einer großen Füllung oder eines abgebrochenen Höckers.
Hier war es so, daß das Implantat schon längere Zeit im Mund war, die Patientin aber kein weiteres wollte, nachdem der Zahn vor dem Implantat verloren gegangen war. Es sollte auch, um den Aufwand zu verringern, der alte, individuelle Implantataufbau erhalten bleiben. Weil sie seit Jahren mit einer Brücke auf der gegenüberliegenden Seite zufrieden war, fiel der Entschluß zugunsten einer Brücke vom Eckzahn zum Implantat.
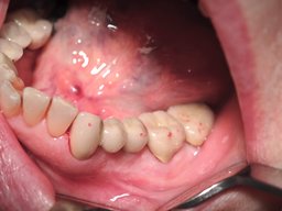
Ausgangssituation

Das Sägemodell
Der Zahntechniker stellt nach der Abformung zunächst ein Sägemodell her, auf dem Implantat-Abutment und Zahnstumpf einzeln herausnehmbar sind. Die Unteransicht zeigt den Unterschied zwischen den beiden Pfeilern deutlich: links der konisch zulaufende Zahnstumpf, rechts der zylindrische Hohlraum des Implantat-Abutments.

Die fertige Brücke auf dem Modell
Die fertige dreigliedrige Metallkeramikbrücke sitzt auf dem Sägemodell.

Ergebnis
Nach Einprobe und Freigabe durch den Patienten wird die Brücke zementiert. Das Abschlussfoto zeigt die fertig eingegliederte Versorgung im Mund.

