Amalgamfüllungen

Ein Klick auf das Praxislogo bringt Sie immer zur 1. Seite zurück.

Seit dem 1.1.2025 ist in der EU, im Ggs. zu vielen anderen Ländern wie GB oder USA, die Amalgamverwendung weitgehend eingeschränkt worden. Ich darf Amalgam nur noch verwenden, wenn ich es für medizinisch zwingend halte, was nur gelegentlich noch der Fall ist. Deshalb belasse ich diese Infos hier, auch wenn die meisten meiner Patienten mit neuen Amalgamfüllungen nicht mehr in Berührung kommen werden.

Wir fertigen unsere Amalgamfüllungen aus "Epoque 70 Duett" (Sicherheitsdatenblatt) bzw. "Ana 70 Duett" der schwedischen Firma Nordiska. Beide Bezeichnungenn stehen für das gleiche Material, das auch noch unter anderen Markennamen verkauft wird. Warum ist das wichtig? Nun, Amalgam ist nicht gleich Amalgam. Es gibt, wie auch bei Composites, gravierende Qualitätsunterschiede schon im Material, die voll auf die Haltbarkeit der Füllungen durchschlagen. In einer Meta-Analyse haben sich Gamma-2-freie Amalgame mit Zink als besonders haltbar gezeigt - nach 13 Jahren waren noch 85 von 100 Füllungen im Mund. "Epoque 70" ist solch ein Amalgam und enthält darüberhinaus 70% Silber im Metallpulver. Dadurch bleibt es auch langfristig silbrig-hell, die Füllungen werden nicht schwarz.
Die Bilder sind anklickbar!
1 frische, 2 ältere Füllungen, Fissurenversiegler
Die Füllungen links wären auch in Composite gut vertretbar gewesen, die Füllungen rechts halten in Amalgam sicher länger als in Composite. Diese Amalgamfüllungen sind alle im Oberkiefer und im Alltag nicht sichtbar.
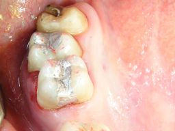
Mittelgroße und große Amalgamfüllung
Warum heute noch Amalgam? Weil die im Preis vergleichbaren (Zuzahlung bei mir je nach Größe ca. 30, 40, 55 oder 68 €), weißen Kunststofffüllungen (Komposit) trotz neuesten Materials und aufwendiger Verarbeitung die Haltbarkeit und Sicherheit von Amalgam noch nicht erreichen, wie umfangreiche Literaturübersichten gezeigt haben (1, 2, 3). Das gilt für den besonders kaubelasteten Seitenzahnbereich. Hier kommt es bei tiefen Kunststofffüllungen auch 4mal häufiger zum Absterben des Zahnnerven als mit Amalgam.
Mein Lieblingsartikel zum Thema Amalgam, weil gut geschrieben und gut recherchiert, ist von Andreas Hirstein aus der Neuen Zürcher Zeitung (NZZ) vom 17.11.2002, S. 87, unter dem Titel "Der Hysterie geopfert". Untertitel: "Die Amalgamgegner haben gewonnen: Trotz vielen Vorteilen verschwinden die umstrittenen Zahnfüllungen aus der Zahnarztpraxis."
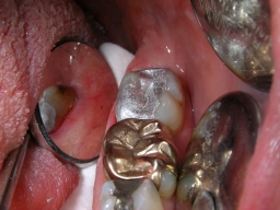
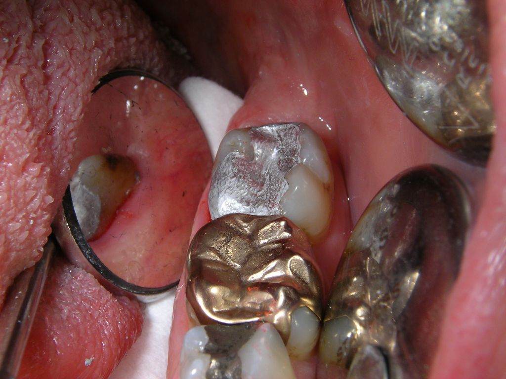
Schmerzhafter Haarriß, mit Amalgam beschwerdefrei
Gleicher Zahn (37). Zuverlässige Therapie einer schmerzhaften Infraktur, d. h. eines unvollständigen Zahnbruches, mit Amalgam, die mit Composite vermutlich nicht funktioniert hätte.
Frisch gelegte u. brünierte Amalgamfüllung
Im Frontzahnbereich sind die weißen Kompositfüllungen natürlich das Mittel der Wahl. Auch kleine Füllungen, inbesondere in den vorderen, besonders sichtbaren, kleinen Backenzähnen, lassen sich mit Composite gut versorgen. Generell gilt: Je größer die Füllung, desto größer wird der Haltbarkeitsvorsprung für Amalgam. Die ästhetische und über Jahrzehnte haltbare Alternative zu großen Amalgamfüllungen sind deshalb nicht große Kunststofffüllungen, sondern keramisch verblendete Kronen, die problemlos auf die mit Amalgam sanierten Backenzähne zementiert werden können:
Zähne mit Amalgamfüllungen für Kronen vorbereitet
Die 3 Kronen auf dem Gipsmodell
Die Patientin wünschte eine dauerhafte, weiße Versorgung. Übrigens: Die Weltgesundheitsorganisation (WHO) hält wie die internationale Vereinigung der Zahnärzte (FDI) Amalgam für sicher. Auch neueste Arbeiten (1, 2, 3) haben an der Einschätzung nichts geändert.

 

← Zurück zum Behandlungsspektrum