Parapost-Stiftaufbau mit Komposit
Ein Klick auf das Praxislogo bringt Sie immer zur 1. Seite zurück.

Der Parapost ist ein parallelwandiger Titanstift, der passgenau in den aufbereiteten Wurzelkanal einzementiert wird. Er verankert den Kompositaufbau im Kanal und überträgt Kaukräfte auf die Wurzel. Zusätzliche Dentinstifte im verbleibenden Restdentin erhöhen den Halt des Aufbaus und bieten eine Rotationssicherung.
Die Bilder sind alle zur Vergrößerung anklickbar!

Der Parapost ist einzementiert, zwei Schraubenstifte im Restdentin gesetzt. Der Zahn ist mit Kofferdam isoliert.

Trockene Arbeitsbedingungen sind Voraussetzung für eine gute Haftung des Komposits, ob mit oder ohne Kofferdam.

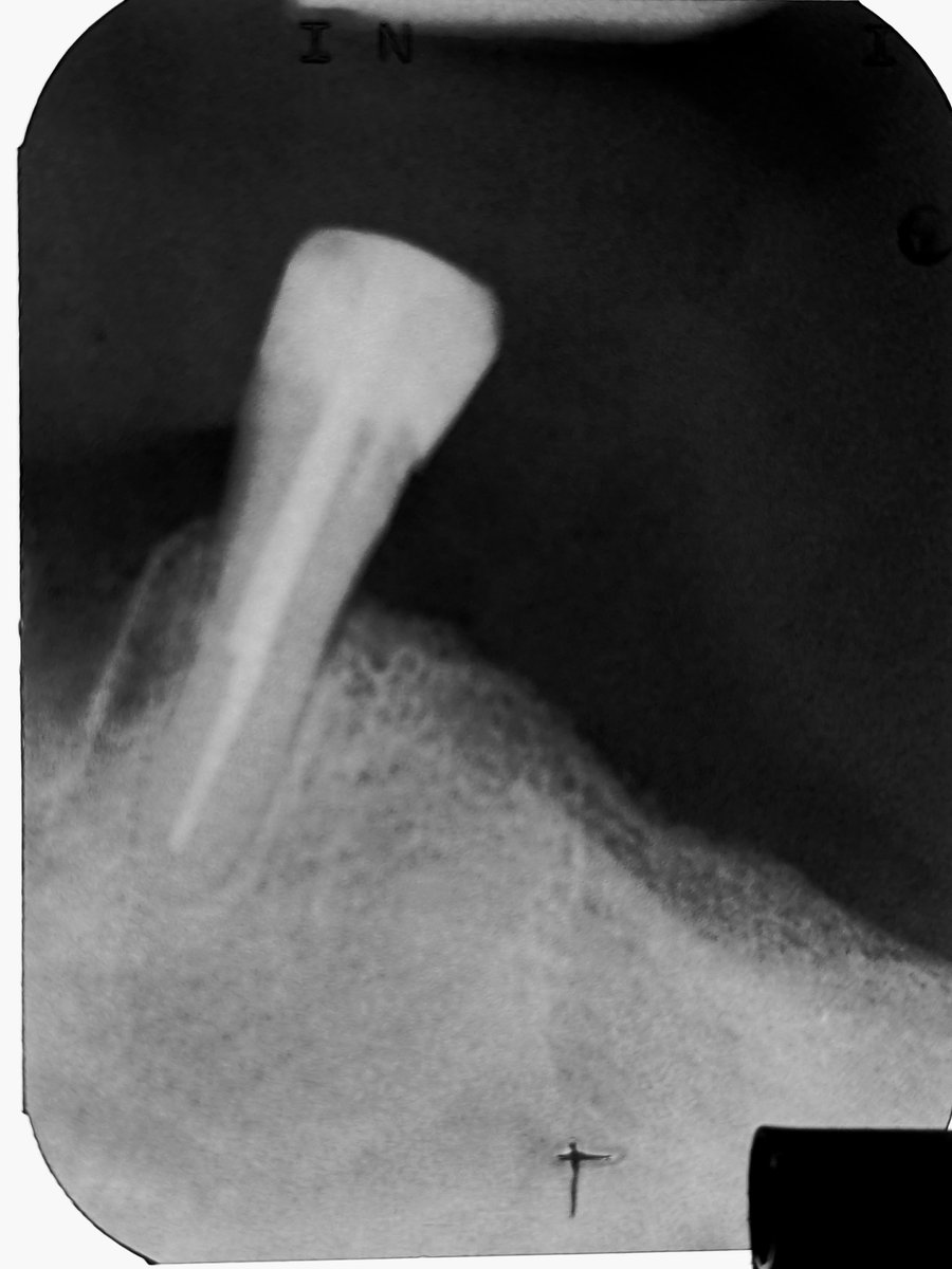
Das Röntgenbild zeigt den Parapost als hellen, parallelwandigen Schatten, der tief im Wurzelkanal verankert ist. Die Länge der Verankerung ist wichtig für die Retention der späteren Krone.
Insgesamt werden heute (3/2026) Stifte weniger von mir eingesetzt als vor 20 Jahren, weil sich gezeigt hat, daß manche heroische Zahnmedizin, also nach schon großem Substanzverlust der Zahnes, nach einigen Jahren, und damit aus meiner Sicht zu früh, scheitert. Aber gelegentlich sind m. E. parapulpäre Stifte in Verbindung mit Para Post immer noch sinnvoll. Inbesondere Einzelkronen funktionieren auch auf großen Aufbauten meiner Erfahrung nach gut. Aber als Brücken- oder Prothesenanker sind solche Zähne ungeeignet, weil nicht ausreichend dauerhaft belastbar.
