Teleskopprothese
Ein Klick auf das Praxislogo bringt Sie immer zur 1. Seite zurück.

Die Bilder sind alle zur Vergrößerung anklickbar!

Das Gipsmodell zeigt den Oberkiefer mit den verbleibenden Restzähnen, die als Pfeiler für die Teleskopprothese dienen.

Auf dem gesägten Modell sind die Primärkronen aus Metall aufgepasst, dazu die Matrize (Außenteil) der Teleskopprothese. Die Parallelität der Kronen zueinander ist für das Einsetzen entscheidend.

Aufsicht auf das gesägte Modell: Alle Primärkronen sitzen auf ihren Stümpfen. Die Parallelität der Teleskope wird vor dem Einsetzen im Labor kontrolliert.

Die fertige, herausnehmbare Brücke von unten: Die Sekundärteleskope (Außenteleskope) werden beim Einsetzen über die Primärkronen geschoben.

Die herausnehmbare Brücke in Seitenansicht. Zu sehen sind Kunststoffverblendungen. Bei herausnehmbarem Zahnersatz sind Keramikverblendungen in aller Regel nicht möglich, weil sie zu leicht absplittern. Aber nach Jahren und dann eventuellem Verschleiß lassen sich Kunststoffverblendungen problemlos und mit relativ wenig Aufwand durch das Dentallabor erneuern, weil der aufwendige Teil das Metallgerüst ist, das Jahrzehnte intakt bleiben kann.

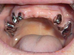
Die Primärkronen sind im Mund einzementiert. Ansicht des Oberkiefers von unten: Alle Teleskoppfeiler sind fertig für die Eingliederung der Prothese.

Das Ergebnis: Die Teleskopprothese ist eingesetzt. Lippenstützung und Ästhetik sind wiederhergestellt. Die Prothese sitzt fest und kann zur Reinigung herausgenommen werden.
