Keramikinlays 46, 47
Ein Klick auf das Praxislogo bringt Sie immer zur 1. Seite zurück.

Die Bilder sind alle zur Vergrößerung anklickbar!

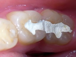
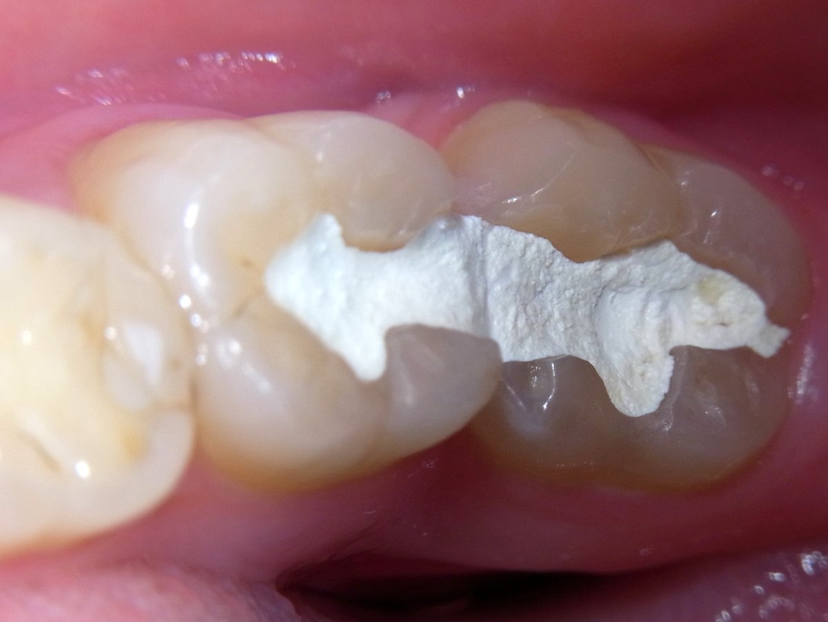
Die Kavitäten beider Zähne sind präpariert. Die weißen Flächen sind Guttapercha-Provisorien, die den Zahn bis zur Eingliederung der Keramikinlays schützen.

Das Gipsmodell nach der Abformung: Die Stümpfe der Zähne 46 und 47 sind gesägt und herausnehmbar – auf dieser Grundlage fertigt der Zahntechniker die Keramikinlays.

Die fertiggestellten Keramikinlays werden mit einer Matrize beim Einsetzen provisorisch positioniert und dann adhäsiv (mit Dualkomposit) eingegliedert.

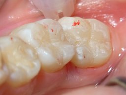
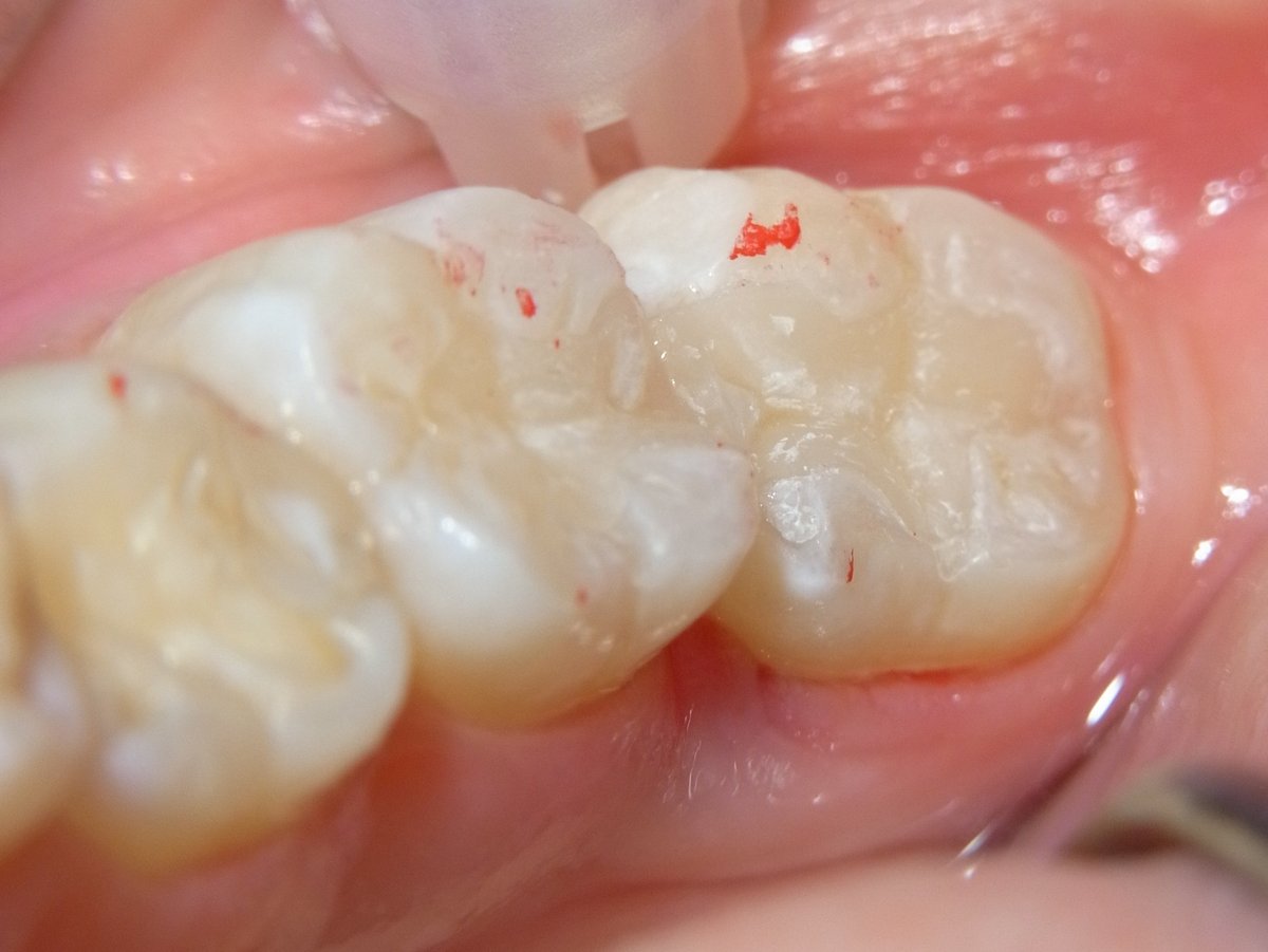
Das fertige Ergebnis: Beide Keramikinlays sind eingegliedert. Die roten Markierungen der Okklusionsfolie liegen auf der natürlichen Zahnsubstanz, nicht auf den Inlays.
