Kunststofffüllungen (Komposit)
Ein Klick auf das Praxislogo bringt Sie immer zur 1. Seite zurück.

Wenn manche meiner Patienten Recht haben, gibt es Kollegen, die Kompositfüllungen als "Keramikfüllungen" verkaufen. Diese Kassenpatienten sind dann meist enttäuscht, wenn ich darauf hinweise, daß es für unter 100 € Zuzahlung keine Keramikfüllung gibt. Eine reine Keramikfüllung kommt nicht ohne Abdruck aus. Die Füllung muß außerhalb des Mundes hergestellt werden, wird dann in den Zahn eingeklebt, was insgesamt so aufwendig ist, daß Kosten von einigen hundert € pro Keramikfüllung enstehen müssen.
Ist nun die echte Keramikfüllung deutlich besser als die Kunststofffüllung (mit hohem Keramikpulveranteil), wo sie doch ein mehrfaches kostet? Wir wissen es nicht, weil es darüber nicht genug klinische Studien gibt, die länger als 5 Jahre, besser noch 10 Jahre gelaufen wären.
Unten ein paar Fotos aus dem laufenden Betrieb. Alle Füllungen sind aus Herculite XRV, eines der am besten nachuntersuchten Kompositmaterialien. Unter den vielen Studien zu dem Material sind leider nur wenige, die wirklich etwas zur Langzeitbewährung sagen. Nach meiner nun 8jährigen Erfahrung (4/2006) mit dem Composite kann ich feststellen: Es gibt Verschleiß, aber der bleibt gering, ebenso wie problematische Verfärbungen selten sind, so daß Herculite XRV sich insgesamt bewährt hat. An den Frontzähnen für Kassenpatienten ohne Zuzahlung, am Seitenzahn bei kautragenden Füllungen 69 € (Stand 03/2026).
Es mag vereinzelt Kollegen geben, die „weiße" Füllungen in Backenzähnen ohne Zuzahlung erbringen. Meiner Einschätzung nach wird das in der Regel aber eine Kompomerfüllung oder sogar nur eine noch weniger haltbare Zementfüllung sein. Kompomer ist ein weißes Material, das von der Industrie für schnelle Verarbeitung optimiert wurde. Die Langzeithaltbarkeit ist aber deutlich schlechter als bei Kompositfüllungen. Die Unterschiede zeigen sich nach einigen Jahren. Kompomer wäscht aus, nutzt sich stärker ab, verfärbt sich und muß dann früher ersetzt werden.
Für Füllungen in Milchzähnen, also über nur einige Jahre und bei nur geringer Kaubelastung, hat sich Kompomer hingegen bewährt, so daß ich es dort einsetze. Für große oder tiefe Defekte sind aber wiederum Amalgam oder Kinderstahlkronen haltbarer. Seit 1.1.2025 kommt Cention Forte für große Füllungen in Kinderzähnen bei mir häufig zum Einsatz, weil es als dualhärtendes Komposit dem Kompomer (aber nicht den Kinderstahlkronen) überlegen ist. Kompomer ist ein Material für kleine Milchzahnfüllungen geworden.
Wie ich auf der Amalgamseite diskutiert habe, verwende ich Kunststoff in sehr großen Defekten in Backenzähnen nicht (mittlerweile doch, aufgrund des Amalgamverzichts, s. o.). Je größer und tiefer dort die Kunststofffüllung ist, desto schlechter die Langzeithaltbarkeit, desto größer das Risiko für den Zahnnerven. Gegen Kunststofffüllungen gibt es übrigens häufiger Allergien als gegen Amalgam, und leider wachsen auch Bakterien unter Kunststoff deutlich besser als unter Amalgam, wie man in dieser Übersicht nachlesen kann.
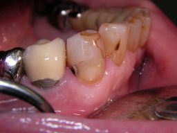
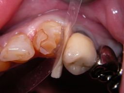
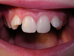
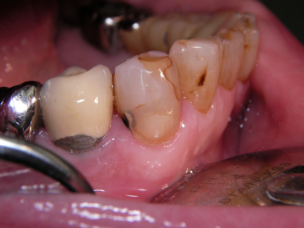
Als erstes ein 67jähriger Schokoladenliebhaber:
Die Bilder sind alle zur Vergrößerung anklickbar!





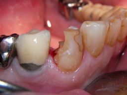
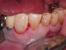
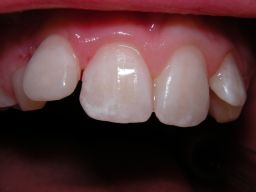
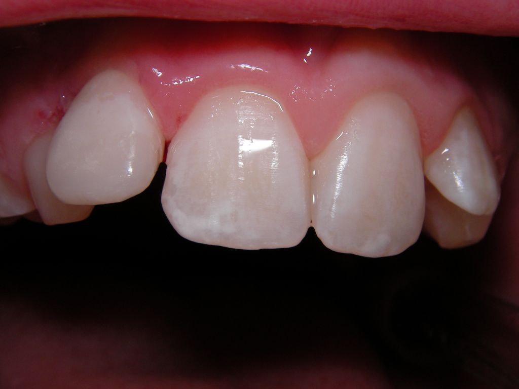
Am benachbarten Zahn 42 wurde die Rand- und Füllungsverfärbung einfach durch Politur entfernt - eine Erneuerung der Füllung war nicht notwendig. Eine Zuzahlung für den Kassenpatienten ist hier nicht angefallen. Alle Defekte des Eckzahnes zusammengenommen sind so groß, daß man sicherlich auch eine Krone hätte vertreten können. Hier ein weiterer Fall, ein junges Mädchen nach einem Schulunfall:




