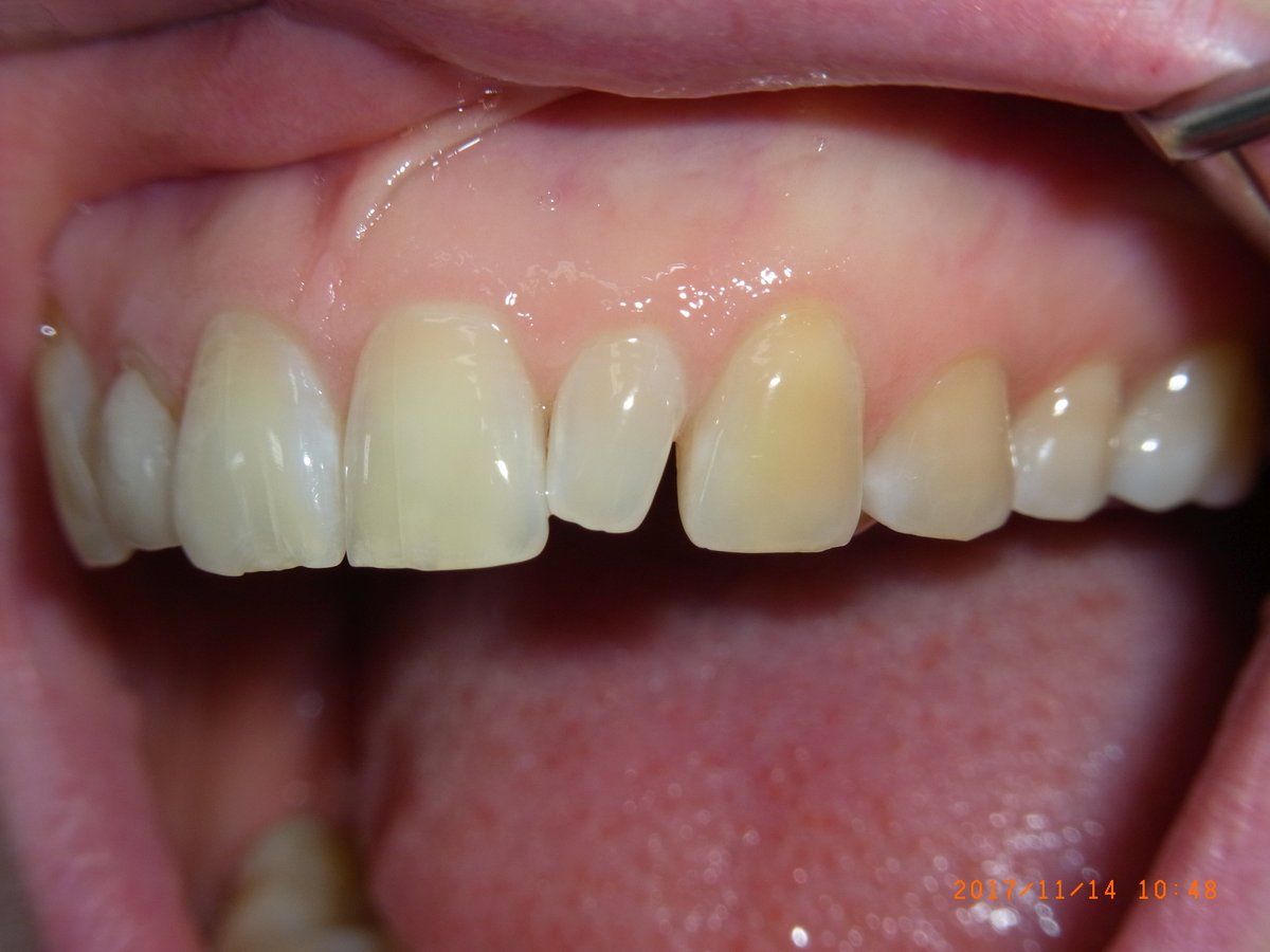
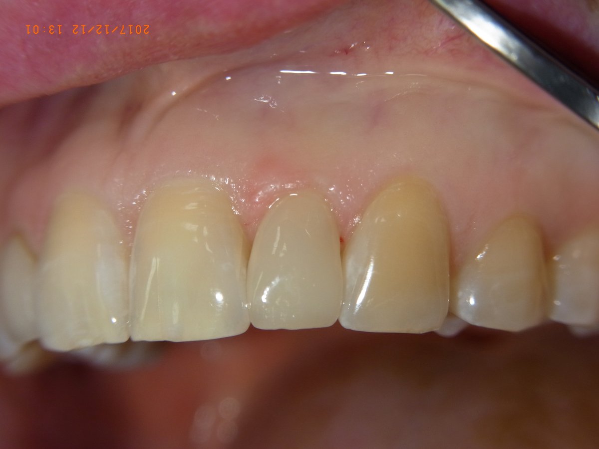
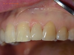
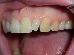
Veneer Zahn 22

Ein Klick auf das Praxislogo bringt Sie immer zur 1. Seite zurück.

Ein Veneer (Verblendschale) ist eine hauchdünne Keramikschale, die auf die Labialfläche (Vorderseite) eines Zahnes aufgeklebt wird. Der Zahn muss dafür nur minimal präpariert werden, meist nur im Schmelzbereich. Veneers eignen sich besonders zur Korrektur von Verfärbungen, Formanomalien oder kleinen Fehlstellungen. Hier ist die Versorgung von Zahn 22 (seitlicher Schneidezahn oben links) dokumentiert.

Die Bilder sind zur Vergrößerung anklickbar!

Ausgangssituation Zahn 22 vor dem Veneer

Ausgangssituation: Zahn 22 fällt durch Form- und Stellungsabweichung auf.

Ergebnis nach Veneer-Einsetzen an Zahn 22

Ergebnis: Das Keramik-Veneer ist eingegliedert. Form und Stellung von Zahn 22 fügen sich harmonisch in die Frontzahnreihe ein.

← Zurück zum Behandlungsspektrum