Korrektur-Indiv-Löffel-Abformung (KILA)
Die Bilder sind alle zur Vergrößerung anklickbar.
Methode und Ablauf
Die Materialien für die zahnärztliche Abformung dürfen seit Jahren als weitgehend ausentwickelt gelten. Ob Hydrocolloid, additionsvernetzende Silikone oder Polyäther: Die theoretische bzw. in-vitro-Genauigkeit ist allemal hoch genug. Trotzdem zeigen Untersuchungen aus Laboren viele wenig zufriedenstellende Abformungen in vivo.
Die hier vorgestellte Korrektur-Indiv-Löffel-Abformung (KILA) mit dem Korrektur-Indiv-Löffel (KIL) soll die zahnärztliche Abformung schneller, besser, sicherer und wirtschaftlicher machen. Der Ablauf der KILA ist wie folgt:
- Gipsmodell nach Alginatabformung (z. B. für das Planungs- oder Situationsmodell). Darauf Tiefziehschiene (1 mm) über ganzes Modell ziehen, erst einmal unbeschnitten belassen – wird später Formteil für die Provisorien.
- Darüber Vorabformung mit knetbarem, additionsvernetzendem Silikon im Einmalplastiklöffel (mit Löffeladhäsiv). Beschneiden der Abformung dank Folie kaum nötig.
- Am Patienten dann Abformung mit der Erstabformung (= KIL) mit einem mittelfließenden Silikon, ohne Umspritzen der Stümpfe (nach einigen Jahren der Anwendung: besser mit Umspritzen).
- Zwei Abformungen wie oben beschrieben nehmen, um im Labor Werkstücke umsetzen zu können und Abformfehler frühzeitig aufzudecken.

Das Gipsmodell nach der Alginatabformung bildet die Grundlage für Tiefziehschiene und den späteren KIL.

Die 1 mm dicke Tiefziehschiene (Copyplast, Fa. Scheu) überzieht das Gipsmodell gleichmäßig. Sie definiert später den Spalt für das mittelfließende Zweitabformmaterial.

Nahaufnahme: Die transparente Folie liegt den Zahnkonturen exakt an. Die durch das Tiefziehgerät hochgradig standardisierte Herstellung vermeidet interdentale Septen, die beim klassischen Indiv-Löffel beschnitten werden müssen.
Herstellung des Korrektur-Indiv-Löffels (KIL)
Die Befüllung des KIL erfolgt mit einer kühlschrankgekühlten, manuellen Dosierpistole direkt aus der Mischkanüle, die möglichst tief in den Abdruck eingebracht wird, um das Material beim Füllen des Löffels vorwärts schiebend blasenfrei einzubringen. Im Stumpfbereich wird etwas mehr Material eingebracht, sonst reicht das Auffüllen der Zahnkronen.

Vorabformung mit knetbarem Silikon im Rim-Lock-Einmalplastiklöffel (Fa. Dental Contact) auf dem Gipsmodell. Das knetbare Material füllt den Löffel über die Tiefziehfolie blasenfrei aus.

Fertiger KIL (links) neben dem Gipsmodell mit aufgezogener Tiefziehfolie (rechts). Der Löffel wird bis zu einige Tage vor der Verwendung im Eigenlabor gefertigt. Beschnitten wird der KIL im späteren Stumpfbereich gar nicht; in den übrigen Bereichen oral und lingual mit einem scharfen Küchenmesser bis ins gingivale Drittel der Zähne.
Sulcusvorbereitung
Gute Patienten- (durch Prophylaxe) und Sulcusvorbereitung (intragingivale, adrenalinhaltige Anästhesie, Faden Knit-Pak Gr. 2 (Fa. Premier) mit Racestyptine (Fa. Septodont), ca. 10 min Einwirkzeit) und möglichst knochentrockene Situation direkt vor der Abformung bleiben wichtig. (Anmerkung 7/2023: Die Abdruckspritze ist wieder dabei, weil sie die Luftblasen im Sulcus reduziert.)

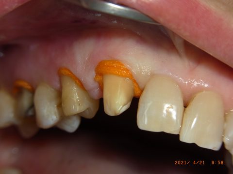
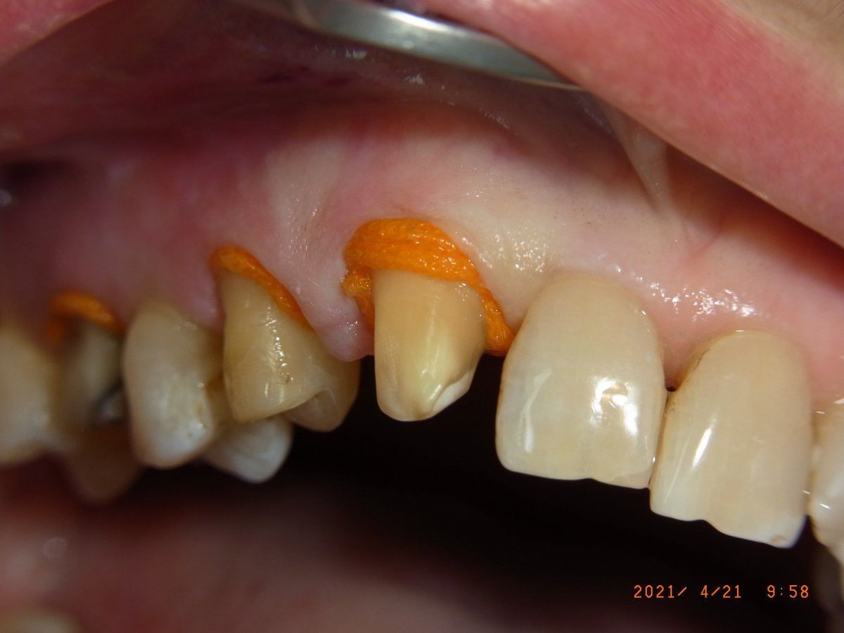
Retraktionsfaden Knit-Pak Gr. 2 mit Racestyptine an den Frontzähnen des Oberkiefers: Der orange Faden öffnet den Sulcus für die anschließende Abformung.

Nahaufnahme: Der Faden liegt tief im Sulcus und verdrängt die Gingiva zuverlässig. Die knochentrockene Situation ist für eine fehlerfreie Sulcusabformung entscheidend.

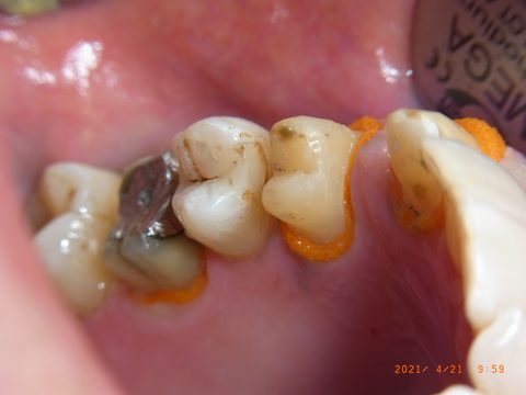
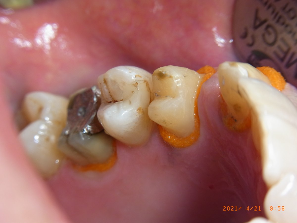
Retraktionsfaden auch im Seitenzahnbereich. Die Abdruckspritze steht bereit, um unmittelbar nach Fadenentnahme mit der Zweitabformung zu beginnen.
Ergebnis und Vorteile
Ich vermute, daß durch den durch die Foliendicke definierten Spalt eine gute Führung und kräftige Strömung des zweitabformenden Materials entstehen. Ich bekomme jedenfalls in der Routine so tiefe Sulcusabformungen und fehlerfreie, scharfe Abdrücke wie selten zuvor.
Das Verfahren ist insgesamt für Zahnstümpfe und zahnlose Kieferabschnitte so genau, daß z. B. Teleskoparbeiten ohne Fixationsabformungen möglich sind. Auch Verkanten oder Verklemmen der Erstabformung, die nach Entnahme der Zweitabformung zu Rückstellfehlern führen können, sind durch die etwas größere Erstabformung nicht mehr möglich. Mischfälle aus offener Implantatabformung und Stumpfabformungen sind dann vorteilhaft mit dieser Methode, weil sich der Abdruckpfosten sicher aufsuchen läßt. Auch für Michiganschienen oder Klammermodellgüsse hat es sich als geeignet erwiesen.

Detail der fertigen Zweitabformung: Die Stümpfe sind scharf und tief erfasst, Sulcusränder deutlich sichtbar – ohne Fahnen, ohne Lufteinschlüsse.

Gesamtansicht der fertigen Zweitabformung: vollständige Erfassung des Oberkiefers. Die beiden unabhängigen Abformungen erlauben dem Labor das Umsetzen zwischen den Modellen und decken Abformfehler frühzeitig auf.
Vorgeschichte: Hydrocolloid und klassischer Indiv-Löffel
Der Autor hat ca. 5 Jahre lang nach Praxisgründung (1996) mit Hydrokolloid abgeformt, das Verfahren dann aber wegen mangelnder Reißfestigkeit des Materials verlassen: Zu häufig fehlten guten Stumpfabformungen die abgerissenen, im Gingivasulcus verbliebenen Ränder. Dieses Problem durch elektrochirurgische oder diamantene-rotierende Gingivamodellation zu lösen, erschien zu invasiv.
Also erfolgte für ca. 20 Jahre der Wechsel zum klassischen, individuellen Löffel (Indiv-Löffel) aus lichtgehärtetem Löffelplattenmaterial, wobei das Vorgehen aus der Hydrocolloidtechnik, ab Einzelkrone immer zweifach abzuformen, beibehalten wurde. Die Abformung erfolgte einphasig-einzeitig mit einem mittelfließenden, additionsvernetzenden Silikon. Viele Jahre, nach einer Empfehlung durch den CRA-Newsletter (heute: Clinicians Report), wurde mit Aquasil Monophase, Regular Set (Fa. Dentsply) abgeformt. Später folgte Exa`lence Medium Body (Monophase) (Fa. GC) wegen der etwas geringeren Endhärte und damit leichteren Entnehmbarkeit.
Als der Autor selbst vier Kronen brauchte, erfolgte ein neuer Kontakt mit der Korrekturabformung. Wenn die Korrekturabformung durch die bessere Stumpfadaptation die „Fahnen am Stumpf" (Lufteinschlüsse) vermied – warum nicht mit einem bewährten, mittelfließenden Silikon zweitabformen? Dafür braucht es aber etwas mehr Abflußspielraum um die Zähne herum als für dünnfließendes Material. Die 1-mm-Folie des Formteils löst diese Aufgabe hochgradig standardisiert.
Zu Plastikeinmallöffeln
Die Verwendung von Plastikeinmallöffeln (Rim Lock Einweglöffel, Fa. Dental Contact) könnte auf Kritik stoßen. Schließlich sind Metalllöffel grundsätzlich durch ihre viel höhere Steifigkeit genauer. Plastikeinmallöffel sind bequemer, weil die Reinigung vom Adhäsiv entfällt (Cyber Silicone Adhesive, Fa. Premier). Sie lassen sich im Labor durch Beschleifen auch leicht anpassen. Bislang gab es auch bei größeren Arbeiten (bis zu 8 Teleskopen, 17–27) im OK keine Passungsprobleme, die dank der beiden unabhängigen Abformungen auch bereits im Labor auffallen müßten.
Bei der Abformung achte ich darauf, nur in den ersten Sekunden den Plastiklöffel kräftig anzudrücken, damit das Zweitabformungsmaterial gut wegströmen kann. Danach wird der Plastiklöffel möglichst druckfrei gehalten, um ihn nicht zu verbiegen. Gegenüber dem Indiv-Löffel gefällt die sicherere Positionierung im Mund.
Probleme
Der KIL ist voluminöser als ein Indiv-Löffel. Eine Einprobe am Patienten ist daher zu empfehlen, um diesen an die Löffel zu gewöhnen und deren Sitz zu prüfen. (Anmerkung 7/2023: Mittlerweile wird regelmäßig auf eine Anprobe verzichtet.) Nach Entnahme sollte der Löffel nur mit Wasser gereinigt und mit Druckluft getrocknet werden.
Anfangs gab es gelegentlich eine totale Delaminierung zwischen Erst- und Zweitabformung. Seitdem die Oberflächenbehandlung an die des klassischen Korrekturabdrucks angenähert wurde, ist das Problem nicht wieder aufgetreten. Man sollte jedenfalls das eigene Material vorher auf seine zeitversetzte Verbindungsfähigkeit testen, um klinisch keine Überraschung zu erleben.
Michael Logies (logies@web.de), Zahnarzt, Wallenhorst
(Interessenkonflikte: keine)
