Klinische Fotos mit dem Smartphone (und Alternativen)
Gute klinische Fotografie muss nicht schwer sein. Ich fotografiere seit Jahrzehnten, auch klinisch. Mit der klassischen Spiegelreflexausstattung – Kamera, Ringblitz, 100-mm-Makroobjektiv – konnte ich mich wegen Größe, Gewicht und Platzbedarf nie anfreunden. Für publikationsfähige Bilder bleibt das der Goldstandard; als Kliniker braucht man aber vor allem eine einfache, schnelle Möglichkeit der Dokumentation.
📋 Inhalt dieser Seite
- Von der Kompaktkamera zum Smartphone – Historische Entwicklung
- Das Xiaomi 14 – Aktuelles Smartphone-Setup
- Warum kein iPhone, kein Ultramodell? – Systematische Erklärung
- Workflow mit dem Smartphone – Praktische Tipps zur Bildverarbeitung
- Vergleich: Drei Jahrzehnte zahnärztliche Makrofotografie – Historischer Vergleich
- Kameras mit automatischem Workflow (Cloud/LAN)
- Alternative: Maximale Tiefenschärfe für klinische Hektik
- Alternative: Leichtes Kompromiss-Set (Micro Four Thirds)
- Ausschnittvergrößerung – nicht nur als Lösung für den Einzelzahn
- Spiegelaufnahmen – Okklusionsprotokolle
- Technischer Anhang: Tiefenschärfe-Berechnungen
Von der Kompaktkamera zum Smartphone
Einige Jahre fotografierte ich klinisch mit der Sanyo Xacti VPC-E6 (Farbkorrekturfolie über dem Blitz), dann Jahre mit der Ricoh CX3 (weißer Plastikbecherausschnitt über dem Blitz zur Lichtabschwächung). Beides sind kleine Kompaktkameras mit herausragenden Makrofähigkeiten. Eine Zeitlang war es sogar möglich, Bilder per Spezial-SD-Karte drahtlos auf den PC zu übertragen – bis das irgendwann nicht mehr funktionierte.
Bilder anklickbar zum Vergrößern
Das Xiaomi 14
Seit 2/2026 fotografiere ich mit dem Xiaomi 14, einem der wenigen Smartphones mit einem echten Telemakro (75 mm KB). Da das Gerät zum Kaufzeitpunkt bereits zwei Jahre auf dem Markt war, gab es es für ca. 500 €. Das Xiaomi 14 ist in Zusammenarbeit mit Leica entstanden, was sich in eigenen Leicamodi niederschlägt. Ich schwanke noch zwischen Leica vibrant und Leica authentic als Hauptmodus – beide jedoch mit dem Filter Leica natural.
Warum kein iPhone, kein Ultramodell?
Die Auswahl geeigneter Smartphones ist eng. Bis heute ist kein iPhone geeignet: Diese haben zwar teils Teleobjektive, aber kein Telemakro – nur eine Makrofunktion des Hauptobjektivs (ca. 24 mm KB), die erzwingt, das Gerät sehr nah ans Objekt zu halten. Klinisch ist das häufig nicht praktikabel.
Der Trend bei Android-Ultramodellen geht zu immer größeren Sensoren. Das verbessert zwar die Bildqualität, verschlechtert aber bei gleicher Fixblende die Tiefenschärfe – für Makrofotografie kontraproduktiv. Kein Ultramodell kaufen. Nach meinen Recherchen wäre das Xiaomi 17 eine aktuelle (3/26) Alternative zum Xiaomi 14. Allerdings hat sich an den optischen Eigenschaften des Telemakros fast nichts mehr geändert, was auch für das Xiaomi 15 gilt (1).
Workflow mit dem Smartphone
Die eingebaute Galerie-App des Xiaomi 14 habe ich deaktiviert, weil sie zu stark mit Google Fotos verwoben ist: In der Galerie gelöschte Bilder verschwanden auch dort – schlecht, wenn man Google Fotos als temporäres Backup nutzt. Stattdessen Aves Galerie: Bilder lassen sich lokal löschen, ohne das Backup zu berühren. Drehen und Spiegeln ist einfach möglich – Spiegeln ist wichtig bei Aufnahmen über den Spiegel, um die Orientierung wiederherzustellen. Trotz deaktivierter interner App lassen sich die Bearbeitungsfunktionen des Xiaomi 14 weiterhin aus Aves Galerie heraus nutzen.
Nach Aves Galerie starte ich Google Fotos; die Bilder werden automatisch hochgeladen. Als Sicherungsqualität empfehle ich „Speicherplatz sparen (etwas geringere Auflösung)" – deutlich kleinere Dateien, kaum sichtbarer Qualitätsverlust. Am PC lade ich die Bilder herunter, kopiere sie ins PVS, maile sie ggf. verschlüsselt an den Zahntechniker. Der Verzicht auf SD-Karte spart spürbar Zeit. Die Übersichtsaufnahmen für den ZTM als Okklusionsprotokoll entstehen mit einem günstigen, LED-beleuchteten Stahlspiegel.
Falls Sie Fragen haben, schicken Sie mir eine E-Mail.
(1) Ich habe versucht, diese Frage mit Claude Code bzw. jetzt KIMI zu klären. Hier ihre Ausführungen, in die auch Kritik durch Gemini ("Thinking Modus") eingegangen ist:
Vergleich: Drei Jahrzehnte zahnärztliche Makrofotografie
Die Daten zur Pentax EI-2000 stammen aus der persönlichen Erfahrung eines Kollegen, der dieses Kameramodell vor 26 Jahren ein Jahr lang im Praxisalltag einsetzte.
| Eigenschaft | Pentax EI-2000 (2000, ~550 g) | Nikon F90 + 105 mm (1992, ~1.450 g) | OM-D E-M5 III + 60 mm (2019, ~590 g) |
|---|---|---|---|
| Systemtyp | Bridgekamera mit festem Objektiv SLR-Sucher, 2,1 MP | SLR-Systemkamera (35 mm) Wechselobjektive, Film/FF-Sensor | Spiegellose Systemkamera (MFT) Wechselobjektive, 20 MP |
| Objektiv | Fest eingebaut 107 mm KB-Äquivalent | Micro-Nikkor 105 mm f/2.8 AF 105 mm, 1:1, 520 g | M.Zuiko 60 mm f/2.8 Macro ED 120 mm KB, 1:1, 185 g |
| Beleuchtung | LED-Ring (nachgerüstet) Manuell, leicht | Nikon SB-21 Ringblitz TTL-gesteuert, 150 g | LED-Makroring 67 mm Akkubetrieben, ~40 g |
| Naheinstellgrenze | 0,10 m ✓ (sehr nah möglich) | 0,31 m (Arbeitsabstand ~15 cm) | 0,19 m (Arbeitsabstand ~8 cm) |
| Max. Abbildungsmaßstab | Fast 1:1 (nahezu Lebensgröße) | 1:1 ✓ (echte Lebensgröße) | 1:1 ✓ (echte Lebensgröße) |
| Sucher | Optisch, Pentaprisma TTL-Sucher | Optisch, festes Pentaprisma 92% Abdeckung | EVF (elektronisch) 2,36 MP, 100% Abdeckung |
| Manueller Fokus | ✓ (eingeschränkt) | ✓ ✓ (präziser Einstellring) | ✓ ✓ ✓ + Fokus-Peaking + Vergrößerung |
| Manuelle Belichtung | ✓ | ✓ ✓ + Matrixmessung | ✓ ✓ ✓ + 324 Zonen, Live-Histogramm |
| Bildqualität | Schwache Auflösung mittelmäßige Qualität | Sehr gut (Film oder Vollformat-Sensor) | Sehr gut 20 MP, moderne Sensortechnik |
| Weißabgleich | Eingeschränkt (Probleme mit LED) | Manuell/Filmwahl Blitz-kompatible Farbtemperatur | Flexibel Kelvin-Wahl, Auto-WB |
| Speichermedium | CF-Karte ("so groß wie das Display") | 35-mm-Film (36 Aufnahmen pro Rolle) | SD-Karte (hohe Kapazität, günstig) |
| Bildübertragung | CF-Kartenleser USB 1.1 (langsam) | Entwicklung + Scan (tages-/wochenlang) | SD-Karte (schnellster Weg) oder USB-Kabel |
| Gesamtgewicht | ~550 g ✓ easy für eine Hand | ~1.450 g (schwer, professionell) | ~590 g ✓ (leicht UND hochwertig) |
Bildübertragung und Workflow: Hier liegt der größte Unterschied zum Smartphone. Während das Xiaomi 14 Bilder automatisch in Google Fotos synchronisiert und sie sofort im Browser verfügbar macht, erfordern alle Systemkameras manuelle Schritte. Nach Recherche auch die aktuellsten Modelle:
- OM System OM-5 (2022): Hat zwar WiFi und Bluetooth, bietet aber keine automatische Cloud-Synchronisation. Die OI.Share App kann Bilder nur manuell auf ein Smartphone übertragen – nicht automatisch im Hintergrund. Für PC-Transfer bleibt SD-Karte oder USB-Kabel.
- WLAN-SD-Karte (z.B. Toshiba FlashAir): Diese speziellen SD-Karten erstellen ein eigenes WLAN und können beim Ausschalten der Kamera automatisch Bilder übertragen. Leider sind sie langsam, unzuverlässig (wie der Kollege berichtet) und kaum noch erhältlich.
- USB-SD-Kartenleser am Arbeitsplatz: Der praktikabelste Weg – ein hochwertiger USB-3.0-Kartenleser direkt am Arbeits-PC ermöglicht Transfer in wenigen Sekunden.
Fazit: Der nahtlose "Cloud-Workflow" des Smartphones (automatisch synchronisieren → im Browser verfügbar → am PC herunterladen) lässt sich mit keiner leichten, aktuellen Systemkamera 1:1 replizieren. Selbst 1.200-€-Modelle wie die OM-5 erfordern manuelles Handling. Wer den vollautomatischen Transfer als oberste Priorität ansieht, ist mit dem Xiaomi 14 besser bedient. Die Systemkamera lohnt sich, wenn Bildqualität, manuelle Kontrolle und Sucher wichtiger sind – bei Akzeptanz des manuellen SD-Karten-Transfers.
💡 Info: OM System OM-5 (2022) – Einschätzung
Sensor: 20,4 MP Micro Four Thirds
Bildstabilisierung: 5-Achsen-IBIS, bis zu 6,5 Blendenstufen
Gewicht: 366 g (Gehäuse), 414 g (mit Akku)
Preis: ca. 1.200 € (Gehäuse)
+ Pluspunkte: IP53-Wetterschutz, etwas bessere AF-Erkennung
− Minuspunkte: Keine automatische Bildübertragung, Tiefenschärfe wie E-M5 III (nur 2–3 mm bei f/8), veralteter Micro-USB-Port
Fazit: Für Dentalfotografie keine signifikante Verbesserung gegenüber der E-M5 III. Das 400 € teurere Upgrade lohnt sich kaum.
Das einzige echte Minus gegenüber der historischen Referenzkamera: Die Naheinstellgrenze beträgt 0,19 m statt 0,10 m – das Objektiv steht im 1:1-Modus aber trotzdem nur ~8 cm vor dem Objekt, was klinisch vollkommen ausreicht. Als Zusatzgewinn erlaubt der 5-Achsen-IBIS verwacklungsfreie Freihandaufnahmen auch bei f/8–f/11 unter dem LED-Ring, was die Tiefenschärfe gegenüber f/2,8 erheblich verbessert – ganz ohne Stativ (zur Physik dahinter s. Fußnote).
Für APS-C-Kameras (Fujifilm, Sony) ist kein vergleichbares Set möglich: Das leichteste 1:1-Makroobjektiv in der APS-C-Klasse mit passender Brennweite wiegt allein 500–750 g, das Gesamtgewicht überschreitet damit 900 g.
Technische Erläuterung (Claude Code, März 2026)
Kameras mit automatischem Workflow (Cloud/LAN)
Für den Praxisalltag ist nicht nur die Bildqualität wichtig, sondern auch der Workflow: Die Bilder sollen möglichst automatisch vom Behandlungszimmer auf den Arbeits-PC gelangen, ohne manuelles Handling von SD-Karten. Nach Recherche bieten nur wenige Systemkameras hier echte Automatisierung:
| Kamera | Sensor | Preis | Autom. Bildübertragung | Tiefenschärfe-Potenzial |
|---|---|---|---|---|
| Canon EOS R10 | APS-C | ca. 800 € | image.canon Cloud (10 GB kostenlos) → ähnlich Google Fotos | 60 mm: f/11 = 2,8 mm 100 mm: f/11 = 2,5 mm (f/16/f/22 mit Beugung) |
| Canon EOS R7 | APS-C | ca. 1.300 € | image.canon Cloud + IBIS für kleine Blenden | 60 mm: f/11 = 2,8 mm 100 mm: f/11 = 2,5 mm |
| Sony A6400 | APS-C | ca. 700 € | FTP-Upload auf NAS (komplexes Setup) | 60 mm: f/11 = 2,8 mm 100 mm: f/11 = 2,5 mm (f/16/f/22 mit Beugung) |
| Sony A7C II | Vollformat | ca. 2.000 € | FTP-Upload auf NAS (komplexes Setup) | 100 mm: f/16 = 5,5 mm (leichte Beugung) |
| Ricoh CX3 / CX4 / CX5 / CX6 28–300 mm eq., 10 MP, 1/2,3" gebraucht ab ca. 30–80 € | 1/2,3" Kompakt 10 MP · DR ~8–10 EV (Xiaomi 14 Tele: ~12 MP (4:1-Binning), DR ~12–14 EV) | 30–80 € gebraucht | Nur SD-Karte manuell – kein automatischer Workflow | Sextant (60mm-Feld): ca. 5 mm Blende vollautomatisch (f/3,5–f/5,6 je nach Zoom); ab f/5,6 leichte Beugung (1/2,3"-Sensor: Nopt ≈ f/3,8) |
Workflow-Vergleich:
- Canon image.canon (R10/R7): Funktioniert ähnlich wie Google Fotos – Bilder werden automatisch in die Canon-Cloud hochgeladen (bis 10 GB kostenlos), von dort können sie am PC heruntergeladen werden. Kein manuelles Handling nötig, aber Internetverbindung erforderlich.
- Sony FTP (A6400/A7C II): Ermöglicht direkten Upload auf eine Netzwerk-Festplatte (NAS) im Praxisnetzwerk – funktioniert ohne Cloud, aber erfordert technisches Setup (IP-Adressen, Freigaben).
- Alle anderen Systemkameras (OM-D, Fujifilm, Nikon): Nur manuelle Übertragung per SD-Karte oder USB – kein automatischer Workflow verfügbar.
- Ricoh CX3 / CX4–CX6: Kompaktkamera mit 28–300 mm eq. Zoom und 1/2,3"-Sensor. Kein automatischer Workflow, keine manuelle Blendensteuerung – die Kamera wählt die Blende automatisch (f/3,5 WW bis f/5,6 Tele). Erreichbare Tiefenschärfe im Sextant-Bereich ca. 5 mm. CX4, CX5 und CX6 verwenden dasselbe Objektiv und sind optisch identisch; gebraucht für 30–80 € erhältlich. Nachteile gegenüber dem Xiaomi 14: Workflow manuell (SD-Karte), Farbtreue und Dynamikumfang schlechter (~8–10 EV vs. ~12–14 EV mit HDR). Megapixel sind vergleichbar: CX3 10 MP, Xiaomi 14 Tele typisch ~12 MP (4:1-Binning) – der Vorteil des Xiaomi liegt nicht in der Pixelzahl, sondern in Rauschverhalten und Dynamik.
Empfehlung für klinische Hektik mit automatischem Workflow:
Die Canon EOS R10/R7 (APS-C, 800–1.300 €) bieten mit image.canon Cloud den besten automatischen Workflow. Bei f/11 liefern sie 2,1 mm DoF (Quadrant, 28 cm) bis 5,8 mm (Gesamtbogen, 43 cm); bei f/14 (Nopt, kein Beugungsverlust) 2,6 mm (Quadrant) bis 7,4 mm (Gesamtbogen). Vollformat ist für mehr Tiefenschärfe nicht erforderlich – APS-C hat bei gleichem Bildausschnitt mehr DoF, nicht weniger (s. äquivalenter Vergleich oben).
Canon EOS R8 (Vollformat, ca. 1.500 €) mit Canon RF 100 mm f/2.8L Macro IS USM (ca. 1.300 €) – für denselben äquivalenten Bildausschnitt:
- Quadrant (40 mm) bei f/11 – 21 cm: ca. 1,5 mm DoF – weniger als APS-C bei f/11 (2,1 mm)
- Quadrant bei f/22 – 21 cm: ca. 3,0 mm DoF – entspricht APS-C bei f/16
- image.canon Cloud – gleicher Vorteil wie beim R10/R7
- Gewicht: ca. 1.400 g (inkl. Ringblitz) – schwerer als APS-C-Set
Empfehlung nach Prioritäten:
- Cloud-Workflow > Alles: Xiaomi 14 – ca. 2 mm DoF (Quadrant), dafür automatische Synchronisation
- Maximale DoF + Cloud: Canon EOS R10/R7 (APS-C) bei f/14 + image.canon – 2,6 mm (Quadrant) bis 7,4 mm (Gesamtbogen) ohne Beugungsverlust
- Leichtgewicht + akzeptable Qualität: OM-D E-M5 III (MFT) – 2–7 mm DoF je Motivgröße (Quadrant bis Gesamtbogen), handlich und günstig
Wichtig: Es gibt keine perfekte Lösung. Jedes System erfordert Kompromisse zwischen Workflow, Tiefenschärfe, Gewicht und Preis.
Alternative: Maximale Tiefenschärfe für klinische Hektik
Wer in der Hektik des Praxisalltags möglichst wenig Zeit auf scharfe Fokussierung verwenden will, braucht deutlich mehr Tiefenschärfe als die bisher betrachteten Systeme bieten. Für einen Frontzahn (ca. 10–12 mm Objekthöhe) sollten mindestens 6–8 mm Tiefenschärfe verfügbar sein.
⚠️ Wichtig: Beugungsgrenze (Diffraction)
Bei sehr kleinen Blenden (f/16, f/22) tritt Beugung auf, die die Bildschärfe reduziert. Die Airy-Scheibe (Beugungsscheibe) darf nicht wesentlich größer als der Pixelpitch werden:
- Smartphone (0,64 µm Pixel): Bereits f/2,8 zeigt deutliche Beugung! Bei f/8 wäre das Bild komplett unscharf.
- MFT (3,3 µm Pixel): Maximum f/8–f/11 (f/16 = deutliche Beugung!)
- APS-C (3,2–3,9 µm): Maximum f/11 (f/16 = Beugung, f/22 = stark unscharf)
- Vollformat (5,9 µm): Maximum f/16 (f/22 = deutliche Beugung)
Konsequenz: Smartphones können ihre Tiefenschärfe gar nicht erhöhen – bereits die Offenblende ist beugungslimitiert. Bei APS-C und kleiner sind f/16/f/22 durch Beugung kontraproduktiv!
Berechnung für verschiedene Systeme: Für 8 mm Tiefenschärfe (DoF) bei gegebenem Abstand und Brennweite ergibt sich die erforderliche Blendenzahl als N ≈ DoF · f² / (2 · c · d²).
| System | CoC (µm) | Brennweite | Abstand | f/2.8 | f/8 | f/11 | f/16 (Beugung) | f/22 (Beugung!) |
|---|---|---|---|---|---|---|---|---|
| Smartphone (Xiaomi 14) | 4,4 | 9 mm | 10 cm | 2,1 mm (max. f/2) | – | – | – | – |
| Micro Four Thirds | 14,4 | 60 mm | 19 cm | 0,6 mm | 1,6 mm | 2,2 mm | 3,2 mm | 4,3 mm |
| APS-C (60 mm) | 18,8 | 60 mm | 19 cm | 0,7 mm | 2,1 mm | 2,8 mm | 4,1 mm | 5,7 mm |
| APS-C (100 mm) | 18,8 | 100 mm | 30 cm | 0,6 mm | 1,8 mm | 2,5 mm | 3,6 mm | 5,0 mm |
| Vollformat (100 mm) | 28,9 | 100 mm | 30 cm | 1,0 mm | 2,8 mm | 3,8 mm | 5,5 mm | 7,6 mm |
| ▼ Äquivalenter Vergleich*: gleicher Bildausschnitt (40 mm Breite, z. B. ein Quadrant) – daher unterschiedliche Abstände | ||||||||
| APS-C (100 mm) * | 18,8 | 100 mm | 28 cm | 0,5 mm | 1,5 mm | 2,1 mm | 3,0 mm | 4,2 mm |
| Vollformat (100 mm) * | 28,9 | 100 mm | 21 cm | 0,4 mm | 1,1 mm | 1,5 mm | 2,2 mm | 3,0 mm |
Grün = ausreichend (>7 mm), Orange = knapp (5–7 mm), Rot = unzureichend (<5 mm). Hinweis: Bei f/16 und f/22 tritt bei kleineren Sensoren starke Beugung auf, die die Bildqualität reduziert! – * Die grün/rot markierten Zeilen vergleichen beide Systeme bei identischem Bildausschnitt (mₐₜₛ₋ᴄ = 0,56; mᵥᶠ = 0,90) – sie müssen dafür unterschiedlich weit vom Motiv entfernt stehen. Die Zeilen ohne Stern verwenden hingegen denselben Abstand (30 cm), bilden aber verschiedene Felder ab.
Äquivalenter Vergleich: alle Systeme
Gleicher Bildausschnitt – unterschiedliche Abstände. Jede Zelle: Sensor-zu-Motiv-Abstand / Tiefenschärfe. Smartphones bei Festblende; MFT und APS-C bei f/11.
| Bildfeld | Xi 14 f/2 · CoC 3,5 µm | Xi 17 f/2 · CoC 4,4 µm | Vivo X300 f/2,57 · CoC 5,4 µm | Vivo X300U f/2,67 · CoC 7,6 µm | MFT 60 mm f/11 · CoC 14,4 µm | APS-C 100 mm f/11 · CoC 18,8 µm |
|---|---|---|---|---|---|---|
| Quadrant ~40 mm Breite | 11 cm / 1,8 mm | 11 cm / 1,8 mm² (CoC 3,5 µm bei 3,2×) | – | – | 20 cm / 2,4 mm | 28 cm / 2,1 mm |
| Frontzahnreihe ~55 mm Breite | 14 cm / 3,3 mm | 10 cm / 2,7 mm ⚠ | – | – | 25 cm / 4,2 mm | 35 cm / 3,5 mm |
| Gesamtbogen ~73 mm Breite | 19 cm / 5,7 mm | 13 cm / 4,6 mm | 15 cm / 3,3 mm | 20 cm / 2,9 mm | 31 cm / 7,0 mm | 43 cm / 5,8 mm |
Sensor-zu-Motiv-Abstand / Tiefenschärfe (exakte Formel). Smartphones bei Festblende (Xi 14/Xi 17: f/2; X300: f/2,57; X300U: f/2,67). MFT/APS-C bei f/11 (MFT-Nopt ≈ f/10,7; APS-C bei f/14 ca. 10 % mehr DoF ohne Beugungsverlust). – = Mindestabstand überschritten (System kommt nicht nah genug). Xi 14: 75-mm-Crop-Modus (Mindestfeld 37 mm). Xi 17: Mindestfeld 46 mm bei 2,6× – 55-mm-Feld bei nur 10 cm ⚠ sehr enger Arbeitsabstand. ² Xi 17 erreicht den Quadrant (40 mm) im natürlichen 2,6×-Modus nicht (Mindestfeld 46 mm); bei 3,2× Digitalzoom entsteht identischer Sensor-Crop wie beim Xi 14 – gleiche Werte. Der CoC-Wert in der Spaltenüberschrift (4,4 µm) gilt für Xi 17 im vollen 50-MP-Modus (Frontzahnreihe, Gesamtbogen); für den Quadrant bei 3,2× Digitalzoom gilt CoC 3,5 µm – weil Digitalzoom den genutzten Sensorbereich verkleinert (32 MP statt 50 MP) und der CoC proportional zur effektiven Sensordiagonale sinkt: 4,4 µm × √(32/50) = 3,5 µm. X300 / X300U: Mindestfeld ~73 mm – nur für Gesamtbogen geeignet.
Erkenntnis: Die obere Tabellenhälfte (gleicher Abstand, gleiche Brennweite) suggeriert einen Vollformat-Vorteil – dieser entsteht jedoch nur, weil VF mit dem größeren CoC (28,9 µm vs. 18,8 µm) großzügiger gerechnet wird, während beide Kameras verschiedene Bildfelder aufnehmen. Die Vergleichstabelle oben zeigt das vollständige Bild bei äquivalentem Bildausschnitt: MFT hat bei f/11 durchgehend 14–21 % mehr Tiefenschärfe als APS-C, da der kleinere Sensor für dasselbe Bildfeld einen kleineren Abbildungsmaßstab m benötigt und der Gewinn durch m² im Nenner der DoF-Formel dominiert. APS-C seinerseits liegt ca. 40 % über Vollformat. Bei APS-C liegt die Beugungsgrenze bei f/14 – ein Schritt mehr als f/11 bringt dort nochmals ca. 10 % DoF-Gewinn ohne Bildqualitätsverlust. Smartphones (Xi 14) erreichen beim Quadrant-Abstand (~11 cm) ca. 1,8 mm DoF – vergleichbar mit Kameras, jedoch ohne einstellbare Blende.
Realistische Optionen für maximale Tiefenschärfe (unter Berücksichtigung der Beugungsgrenze):
- MFT 60 mm bei f/11 (Quadrant, 20 cm): ca. 2,4 mm DoF – bestes Gewicht/DoF-Verhältnis
- APS-C 100 mm bei f/11 (Quadrant, 28 cm): ca. 2,1 mm DoF, keine Beugung
- APS-C 100 mm bei f/14 (Quadrant, 28 cm): ca. 2,7 mm DoF, Nopt – bester APS-C-Kompromiss ohne Beugungsverlust
- MFT 60 mm bei f/11 (Frontzahnreihe, 25 cm): ca. 4,2 mm DoF
- MFT 60 mm bei f/11 (Gesamtbogen, 31 cm): ca. 7,0 mm DoF
- APS-C 100 mm bei f/16 (Quadrant, äquiv.): ca. 3,0 mm DoF, leichte Beugung
- Vollformat 100 mm bei f/22 (Quadrant, äquiv., 21 cm): ca. 3,0 mm DoF, Beugungsgrenze – entspricht APS-C bei f/16
- Smartphone Xi 14 (Quadrant, 11 cm): ca. 1,8 mm DoF – kein Zusatz-Equipment, begrenzte Blendensteuerung
Schlussfolgerung: Die 8-mm-Tiefenschärfe für stressfreie Frontzahn-Fotografie ist mit keinem der betrachteten Systeme sicher erreichbar, solange Beugung vermieden werden soll. Für die meisten klinischen Bildfelder sind MFT 60 mm und APS-C 100 mm praktisch gleichwertig: MFT hat bei f/11 je nach Motivgröße 14–21 % mehr Tiefenschärfe; APS-C kann diesen Unterschied durch Nutzung von f/14 (Nopt) weitgehend ausgleichen. Vollformat bleibt für Dentalmakro die schlechteste Wahl: bei gleichem Bildausschnitt stets weniger DoF als APS-C. Der scheinbare VF-Vorteil in der oberen Tabellenhälfte (7,6 mm bei f/22) entsteht durch einen unfairen Vergleich: VF fotografiert dort ein 70 mm breites Feld, APS-C nur ein 44 mm breites Feld. Smartphones (Xi 14) leisten beim Quadrant-Abstand Vergleichbares zu Kameras; ihre Grenzen sind die fehlende Blendenregelung und der kleinere Sensor für Dynamikumfang und Rauschverhalten.
Alternative: Leichtes Kompromiss-Set (Micro Four Thirds)
Die Telemakrofunktion des Xiaomi 14 reicht für die klinische Alltagsdokumentation gut aus. Wer häufiger fotografiert und höhere Ansprüche an Bildqualität und Beleuchtung stellt, kommt mit dem Micro-Four-Thirds-System weiter.
Der äquivalente Tiefenschärfe-Vergleich – beide Systeme fotografieren dasselbe Bildfeld, stehen dafür aber unterschiedlich weit vom Motiv – zeigt ein auf den ersten Blick überraschendes Ergebnis: MFT hat bei gleicher Blende durchgehend mehr Tiefenschärfe als APS-C oder Vollformat. Ursache: Der kleinere Sensor braucht für dasselbe Bildfeld einen kleineren Abbildungsmaßstab m, und da DoF ∝ (m+1)/m² gilt, gewinnt ein kleineres m überproportional. Begrenzt wird dieser Vorteil durch zwei Faktoren: die Beugungsgrenze bei ca. f/11 (CoC = 14,4 µm → Nopt = f/10,7) und den mit dem Motivfeld variierenden Arbeitsabstand.
Mit dem OM System OM-D E-M5 Mark III und dem M.Zuiko 60 mm f/2,8 Macro ED entsteht ein Set unter 600 g:
| Komponente | Details | Gewicht |
|---|---|---|
| OM-D E-M5 Mark III | EVF, TTL-Messung, 5-Achsen-IBIS, manuelle Belichtung + Fokus, Blitzschuh | 366 g |
| M.Zuiko 60 mm f/2,8 Macro ED | 120 mm KB-Äquiv., 1:1, Naheinstellgrenze 0,19 m, Arbeitsabstand ~8 cm | 185 g |
| LED-Makroring (67-mm-Gewinde) | Einstiegslösung, akkubetrieben, ca. 20–40 € | ~40 g |
| Xenon-Ringblitz (z. B. Olympus STF-8) | TTL-gesteuert, ~5500 K Farbtemperatur, Blitzdauer ~1/10.000 s, ca. 600 € | ~220 g |
| Gesamt (mit LED-Ring) | ~590 g |
Arbeitsabstand = Abstand Frontlinse–Zahn. Sensor liegt ca. 11 cm hinter der Frontlinse des M.Zuiko 60 mm. Bei Naheinstellgrenze (0,19 m, 1:1-Modus): Arbeitsabstand ~8 cm – ausreichend für einen Ringblitz, aber eng. Für ein 40-mm-Bildfeld (Quadrant, Sensor–Motiv ~20 cm): ~9 cm. Für ein 55-mm-Feld (Frontzahnbereich, ~25 cm): ~14 cm. Größere Motivfelder sind bequemer zu beleuchten.
Tiefenschärfe nach Motivgröße (äquivalenter Vergleich)
| Motiv | Bildfeld | MFT 60 mm Abst. / WA / DoF f/11 | APS-C 100 mm Abst. / WA / DoF f/11 | Vorteil |
|---|---|---|---|---|
| Einzelzahn | ~20 mm | — (unter Mindestabstand) | 19 cm / 6 cm / – | APS-C |
| Quadrant | ~40 mm | 20 cm / 9 cm / 2,4 mm | 28 cm / 15 cm / 2,1 mm | MFT DoF, APS-C Beleuchtung |
| Frontzahnbereich | ~55 mm | 25 cm / 14 cm / 4,2 mm | 35 cm / 22 cm / 3,5 mm | MFT (+20 %) |
| Gesamtbogen | ~73 mm | 31 cm / 20 cm / 7,0 mm | 43 cm / 30 cm / 5,8 mm | MFT (+21 %) |
Abst. = Sensor–Motiv-Abstand; WA = Arbeitsabstand Frontlinse–Motiv; DoF bei f/11 (exakte Formel). MFT-Beugungsgrenze: f/11 (Nopt = f/10,7) – darüber nimmt die Bildschärfe durch Beugung ab. APS-C-Beugungsgrenze: f/14. Vollformat (100 mm) hat für jedes Bildfeld weniger DoF als APS-C und ist deshalb für Dentalmakro ungeeignet (Gesamtübersicht s. Tiefenschärfe-Tabelle oben). – † Smartphone: CoC = 3,5 µm (digitaler 75-mm-Crop; voller Sensor = 4,4 µm / Xi17-Modus). Bildfeld bei 10 cm: ~37 mm (ähnlich MFT bei 19 cm: ~37 mm → äquivalenter Vergleich).
Worin liegt der Vorteil gegenüber dem Smartphone? Nicht in der Tiefenschärfe – die ist bei vergleichbarer Bildgröße ähnlich. Der Unterschied liegt in drei anderen Bereichen:
- Bildqualität: Der 4/3"-Sensor hat 3,3 µm große Pixel gegenüber 0,64 µm beim Smartphone-Telemakro (5× größer, ~25× mehr Lichtsammelfläche pro Pixel). Das bedeutet weniger Rauschen, mehr Dynamikumfang und naturgetreuere Farben – besonders relevant bei der klinisch wichtigen Wiedergabe von Zahnfarben und Gewebestrukturen.
- Xenon-Blitz: Über den Blitzschuh lässt sich ein Xenon-Ringblitz (z. B. Olympus STF-8) anschließen. Xenon liefert eine konstante Farbtemperatur von ~5500 K und friert selbst Zungenbewegungen sicher ein (Blitzdauer ~1/10.000 s). LED-Ringe und Smartphone-Blitze können bei schlechtem Licht Bewegungsunschärfe nicht ausschließen.
- Reproduzierbarkeit: Feste Blende (z. B. f/8), feste Belichtungszeit, TTL-Blitz – die Aufnahmeparameter sind für jedes Bild identisch. Das erleichtert den echten Vorher-Nachher-Vergleich unter gleichen Bedingungen.
Wer sich für dieses System entscheidet, muss dafür den manuellen Workflow (SD-Karte, kein automatischer Cloud-Upload) und die Einarbeitung in die manuelle Fokustechnik akzeptieren.
Ausschnittvergrößerung – nicht nur als Lösung für den Einzelzahn
Das Ausschnittsprinzip verbessert die Tiefenschärfe in jeder klinischen Aufnahmesituation – nicht nur beim Einzelzahn. Je weiter man vom Motiv zurücktritt, desto kleiner wird der Abbildungsmaßstab m = SW/Bildfeld, und da DoF ∝ (m+1)/m² gilt, wächst sie überproportional. Das nachträgliche digitale Zuschneiden auf das Zielfeld kostet DoF nur linear – netto ergibt sich immer ein Gewinn, solange die Pixelreserve ausreicht.
DoFeff = DoFAufnahme × (Zielfeld / Aufnahmefeld) | Verbleibende MP = Sensor-MP × (Zielfeld / Aufnahmefeld)² | Maximaler Rückzugsfaktor: ropt = √(Sensor-MP / Mindest-MP)
Grundregel: Immer etwas weiter zurücktreten als minimal nötig und in der Nachbearbeitung zuschneiden. Bei Kameras mit ≥ 32 MP ist die effektive Tiefenschärfe im Optimum mehr als doppelt so groß wie bei der Direktaufnahme.
12-MP-Modus mit Digitalzoom (Telemakro-Empfehlung)
Im 12-MP-Modus wenden beide Geräte ein 4:1-Binning an – allerdings auf unterschiedliche Ausgangsflächen: Xi 17 binnt die vollen 50 MP → 12 MP; Xi 14 binnt nur die 32-MP-Cropfläche (1,25×-Crop) → 8 MP¹. Digitalzoom ist verfügbar. Formel: Max. Zoom = Basis-Zoom × √(Binning-MP / Mindest-MP)
| System (12-MP-Modus) | Standard-MP | Basis-Zoom | Max. Zoom (≥6 MP) | Max. Zoom (≥3 MP) |
|---|---|---|---|---|
| Xi 14 | 8 MP¹ | 3,2× | 3,2 × √(8/6) = 3,7× | 3,2 × √(8/3) = 5,2× |
| Xi 17 | 12 MP | 2,6× | 2,6 × √(12/6) = 3,7× | 2,6 × √(12/3) = 5,2× |
Da Xi 14 trotz höherem Basis-Zoom (3,2× vs. 2,6×) nur 8 MP echte Sensorinformation hat (32-MP-Crop ÷ 4), während Xi 17 mit 2,6× und 12 MP startet, konvergieren die Maximalwerte auf dieselben Faktoren (3,7× / 5,2×). ¹ Xi 14 und Xi 17 teilen denselben 50-MP-Sensor; das Xi 14 beginnt im Telemakro bereits mit einem 1,25×-Crop (75 mm statt 60 mm), weshalb das Binning nur die 32-MP-Fläche erfasst – das ergibt 8 MP echter Auflösung. Die Kamera gibt dennoch eine 12-MP-Datei aus (Hochskalierung/Interpolation), die für die Zoom-Formel aber nicht zählt: Interpolierte Pixel enthalten keine zusätzliche Bildinformation und verschieben die tatsächliche Schärfegrenze nicht. Beim optimalen Zoom positioniert man die Kamera so, dass das Motiv das Bild füllt – kein Beschnitt in der Nachbearbeitung nötig. Der DoF-Gewinn gegenüber der Direktaufnahme ist gering (m = SW/Bildfeld bleibt konstant); der Hauptvorteil ist der größere Arbeitsabstand und die bequeme Motiveinpassung.
Beispiel: Quadrant-Aufnahme (~40 mm Bildfeld) – Direktaufnahme vs. optimaler Abstand
| System | Typischer Abstand | DoF direkt | Optimaler Abstand (3 MP) | DoFeff optimiert | Gewinn |
|---|---|---|---|---|---|
| MFT 60 mm f/11 (20 MP) | 20 cm | 2,4 mm | 42 cm | 5,1 mm | × 2,1 |
| APS-C 100 mm f/11 (R10, 24 MP) | 30 cm † | 2,2 mm | 61 cm | 4,5 mm | × 2,0 |
| APS-C 100 mm f/14 (R7, 32 MP) | 30 cm † | 2,8 mm | 69 cm | 6,5 mm | × 2,3 |
| VF R8 100 mm f/22 (24 MP) | 30 cm ‡ | 3,5 mm | 42 cm | 4,9 mm | × 1,4 |
| Xi 14 75 mm (f/2, 12 MP) | 11 cm | 1,8 mm | 24 cm | 3,4 mm | × 1,9 |
| Xi 17 (f/2, 12 MP) | 10 cm ‡ | 1,9 mm | 15 cm | 2,8 mm | × 1,5 |
† APS-C 100 mm Makro: MFD = 30 cm, Mindestfeld ~45 mm; "Direkt" = MFD + Ausschnitt auf 40 mm. – ‡ Mindestfeld des Systems > 40 mm; Wert = Aufnahme bei MFD + Ausschnitt. – Smartphones: 12-MP-Modus empfohlen (Binning-Modus; Digitalzoom vor Aufnahme verfügbar). – Vivo X300/X300U: Mindestfeld 73 mm, ebenfalls Pflicht-Ausschnitt; X300U mit 200 MP profitiert bei Quadrant bis r = 8 (theoretische DoF > 6 mm bei ~80 cm). – VF: Geringer Gewinn, weil schon bei MFD ein Ausschnitt nötig ist; mehr Pixel (R5 IV 45 MP) würden × 2,3 ermöglichen.
Diese Regel gilt auch für die Frontzahnreihe (55 mm) und den Gesamtbogen (73 mm): Wer mit genug Pixelreserve aus 50 % mehr Abstand aufnimmt, holt in der Nachbearbeitung deutlich mehr Tiefenschärfe heraus, als der Primärvergleich vermuten lässt.
Sonderfall: Einzelzahn (~20 mm) – Lösung durch Ausschnitt vom Mindestabstand
Ein einzelner Frontzahn hat ein Bildfeld von ~20 mm und liegt damit unter der Naheinstellgrenze des M.Zuiko 60 mm (Mindestfeld ~38 mm). Aufnahme des Quadrant-Felds (~38 mm) aus 19 cm und anschließender Ausschnitt auf 20 mm liefert ~48 % mehr Tiefenschärfe als eine hypothetische direkte Nahaufnahme (m = 0,87: 0,8 mm; mit Ausschnitt: 1,2 mm).
| System | Aufnahmefeld (min.) | Abstand | DoF Aufnahme | DoFeff auf 20 mm | Verbleibende MP |
|---|---|---|---|---|---|
| MFT 60 mm f/11 (20 MP) | ~38 mm | 19 cm | 2,2 mm | 1,2 mm | 5,5 MP ✓ |
| APS-C 100 mm f/11 (R10, 24 MP) | ~45 mm | 30 cm | 2,5 mm | 1,1 mm | 4,7 MP ✓ |
| APS-C 100 mm f/14 (R7, 32 MP, Nopt) | ~45 mm | 30 cm | 3,2 mm | 1,4 mm | 6,3 MP ✓✓ |
| Vollformat 100 mm f/22 (R8, 24 MP) | ~72 mm | 30 cm | 6,4 mm | 1,8 mm | 1,9 MP ✗ |
| Xi 14 75 mm (f/2, 12 MP) | ~37 mm | 11 cm | 1,5 mm | 0,8 mm | 2,3 MP ✗ |
| Xi 17 (f/2, 12 MP) | ~53 mm | 10 cm | 2,5 mm | 0,9 mm | 1,7 MP ✗ |
| Vivo X300 (f/2,57, ~50 MP) | ~73 mm | 15 cm | 3,3 mm | 0,9 mm | 3,8 MP ⚠ |
| Vivo X300U (f/2,67, 200 MP) | ~73 mm | 20 cm | 2,9 mm | 0,8 mm | 15 MP ✓✓ |
Zielfeld: Einzelzahn ~20 mm. Aufnahme vom systemspezifischen Mindestabstand, danach digitaler Ausschnitt auf 20 mm. – Xi 14 und Xi 17 haben dieselbe physische Optik; die unterschiedlichen Ergebnisse sind ein Artefakt des Zoom-Vergleichs: Xi 14 startet bei 3,2× (Mindestfeld 37 mm, 8 MP effektiv), Xi 17 bei 2,6× (Mindestfeld 53 mm, 12 MP). Nach Ausschnitt: Xi 14 8 × (20/37)² = 2,3 MP ✗; Xi 17 12 × (20/53)² = 1,7 MP ✗. Bei 3,2× Digitalzoom ergäbe Xi 17 ebenfalls ≈2,3 MP (gleicher Sensor-Crop wie Xi 14). Beide unter der 3-MP-Grenze – für den Einzelzahn ist ein System mit größerer Sensorfläche (MFT, APS-C) vorzuziehen. – VF R8 (24 MP): Nur 1,9 MP – unter der 3-MP-Grenze; R5 Mark II (45 MP) ergäbe 3,5 MP – knapp ausreichend. Vollformat braucht also nicht nur mehr Geld, sondern auch mehr Pixel. – APS-C R7 (32 MP, f/14): Mit 6,3 MP über der Auflösungsgrenze des menschlichen Auges.
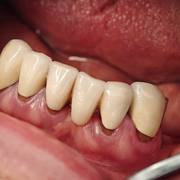
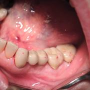
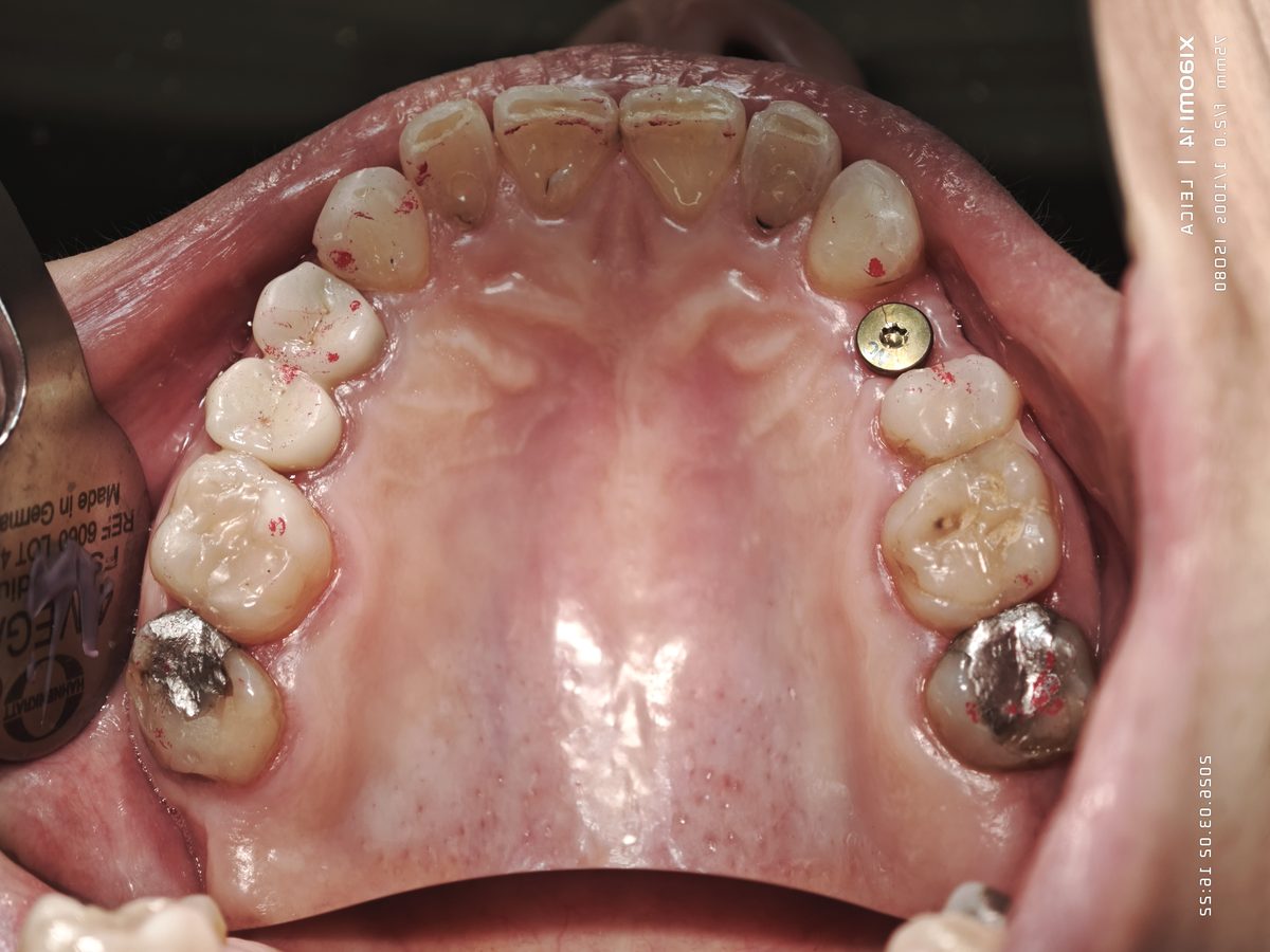
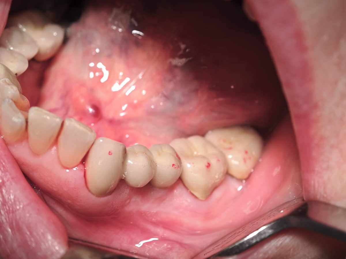
Spiegelaufnahmen – Okklusionsprotokolle
Meine häufigste klinische Aufnahmesituation ist nicht der Einzelzahn, sondern das Okklusionsprotokoll: Dokumentation aller Kontaktpunkte nach Artikulationspapier-Test am gesamten Gebiss. Die einzige praktikable Perspektive dafür ist die Okklusalansicht – erreichbar nur über einen dentalen Spiegel. Das folgende Foto entstand mit dem Xiaomi 14 im Telemakro-Modus (3,2×), ohne Stativ, unter normalen Praxisbedingungen, mit Hilfe eines durch LEDs im Griff erhellten Stahlspiegels:
Warum der Spiegel die Tiefenschärfeprobleme löst
Zwei physikalische Effekte wirken zusammen:
- Verlängerter optischer Weg: Der Spiegel addiert seine Distanz zum Motiv-Abstand. Bei typischen Verhältnissen (Kamera → Spiegel: 15 – 20 cm, Spiegel → Kaufläche: 3 – 5 cm) ergibt sich ein optischer Gesamtweg von 18 – 25 cm. Mit Xi 14 (3,2×) liegt die Tiefenschärfe dann bei 6,5 – 10 mm statt 1,8 mm bei direkter Aufnahme aus 11 cm.
- Geometrische Ausrichtung: Der 45°-Spiegel richtet die Aufnahmeachse senkrecht zur Kauflächenebene aus. Alle Kaufflächen liegen damit annähernd in einer Ebene. Bei direkter Frontalaufnahme wäre die Tiefenvarianz (Frontzähne bis letzte Molaren) 40 – 60 mm – völlig unbeherrschbar. In der Okklusalansicht über Spiegel reduziert sich die Bogentiefe auf 10 – 20 mm.
| Optischer Gesamtweg | Bildfeld (Xi 14, 3,2×) | Tiefenschärfe | Bogentiefe gedeckt? |
|---|---|---|---|
| 11 cm (direktes MFD, ohne Spiegel) | ~37 mm (Quadrant) | 1,8 mm | Nein – Spiegel nötig |
| 20 cm über Spiegel | ~78 mm (Sextant) | 6,5 mm | Ja – Sextant, halber Bogen |
| 25 cm über Spiegel | ~98 mm (ganzer Bogen) | 10,2 mm | Ja – ganzer Bogen |
| 30 cm über Spiegel | ~119 mm (beide Kiefer) | 14,8 mm | Ja – überreichlich |
Xi 14, 75 mm-Telemakro (f/2, f = 9,1 mm, SW = 3,71 mm, CoC = 3,5 µm). Optischer Gesamtweg = Kamera → Spiegelfläche + Spiegelfläche → Kaufläche (physikalisches Lichtweglängen-Äquivalent eines ebenen Spiegels). Bogentiefe (A-P-Dimension des Zahnbogens in Okklusalansicht): Unterkiefer typisch 10 – 20 mm je Sextant, bis 40 mm für gesamten Bogen.
Praktischer Workflow Okklusionsprotokoll
- Artikulationspapier einlegen, Patient beißen lassen.
- Okklusionsspiegel einführen (Mundwinkel-Retraktoren optional, aber hilfreich).
- Smartphone: Telemakro, 12-MP-Modus wählen. Vor der Aufnahme auf Ziel-Zoom zoomen – Xi 14 und Xi 17 haben dieselbe Optik, daher gelten gleiche Werte: 3,7× (für ≥6 MP) oder 5,2× (für ≥3 MP). Praktisch bewährt hat sich ~4,3× (~4,5 MP): der zusätzliche Tiefenschärfegewinn überwiegt den Pixelverlust gegenüber 3,2×. Dann positionieren, bis das Motiv das Bild füllt (Gesamtweg ~20 cm).
- Kamera auf ~20 – 25 cm Gesamtweg positionieren, bis der gewünschte Bogenabschnitt das Bild füllt.
- Aufnehmen. Bei 25 cm und 3,2×: gesamter Bogen (~98 mm Bildfeld), DoF ~10 mm, ~8 MP – ausreichend für alle Okklusionskontakte. Bei 4,3× deckt 25 cm nur ~73 mm ab; für den ganzen Bogen müssste man auf ~33 cm zurück (DoF dann ~14 mm, aber nur ~4,5 MP).
Der Spiegel kompensiert das Zugangsproblem und erlaubt dem Smartphone einen praxistauglichen Gesamtweg von ~20 cm. Für die reine Aufnahmequalität gilt jedoch: Ein MFT-System mit Xenon-Ringblitz über demselben Spiegel liefert für den gesamten Bogen (98 mm Bildfeld) bei 40 cm Gesamtweg DoF ≈ 12 mm und 20 MP – identische Bogendarstellung wie Xi 14 (3,2×/25 cm), bei vergleichbarer Tiefenschärfe (10 vs. 12 mm) aber 2,5× mehr Pixeln. Der Ringblitz verliert von 25 auf 40 cm ~1,4 Blenden – problemlos kompensierbar. Dazu: reproduzierbare Belichtungsparameter. Ein LED-beleuchteter Spiegel liefert zwar ebenfalls gleichmäßiges Licht, aber Xenon ermöglicht ISO 50–100 statt ISO 320 / ¹⁄₁₀₀ s wie im gezeigten Bild: weniger Rauschunterdrückung, brillantere Farben, sicheres Einfrieren von Bewegungen. Der Vorteil des Smartphones liegt nicht in der Bildqualität, sondern in der Bequemlichkeit: immer dabei, sofort einsatzbereit, kein zusätzliches Equipment.
Technischer Anhang: Tiefenschärfe-Berechnungen
Der folgende Abschnitt enthält detaillierte physikalische Berechnungen der Tiefenschärfe für verschiedene Kamerasysteme. Für den praktischen Einsatz sind die Ergebnisse im Haupttext zusammengefasst – diese Ausführungen dienen der technischen Vertiefung.
Tiefenschärfe beim Telemakro – Berechnungen für vier aktuelle Smartphones
Technische Eckdaten der Telekameras
| Eigenschaft | Xiaomi 14 | Xiaomi 17 | Vivo X300 | Vivo X300 Ultra | OM-D E-M5 III + 60mm Makro |
|---|---|---|---|---|---|
| Auflösung (nativ) | 50 MP (nativ) / 32 MP std. * | 50 MP | 50 MP | 200 MP | 20 MP |
| Sensor | 1/2,76" (Samsung JN1) | 1/2,75" (Samsung JN5) | 1/1,95" (Sony LYT-602) | 1/1,4" (Samsung HP0) | 4/3" Live MOS (17,3×13,0 mm) |
| Pixelgröße | 0,64 µm | 0,64 µm | 0,80 µm | 0,56 µm | 3,3 µm |
| Blende (Tele) | f/2,0 | f/2,0 | f/2,57 | f/2,67 | f/2,8 (f/8–f/11 empfohlen) |
| Brennweite (KB-äquiv.) | 75 mm * (opt. 60 mm) | 60 mm | 70 mm | 85 mm | 120 mm |
| Min. Aufnahmeabstand | 10 cm | 10 cm | ~15 cm ** | ~20 cm ** | 19 cm |
| Reelle Brennweite (ber.) | ca. 9,1 mm (= Xi17) | ca. 9,1 mm | ca. 13,2 mm | ca. 22,4 mm | 60 mm |
* Xi14: Standardausgabe 32 MP bei 75 mm KB-Äquiv. (digitaler 1,25×-Crop aus dem 50-MP-Sensor). Im 50-MP-Vollauflösungsmodus gibt das Objektiv optisch 60 mm – identisch mit dem Xiaomi 17. ** Mindestabstand nicht offiziell dokumentiert, aus Objektivdesign geschätzt. An ihrem Mindestabstand (15 cm / 20 cm) bilden X300 und X300 Ultra ein ~73 mm breites Bildfeld ab (Gesamtbogen), während Xi14 bei 10 cm nur ~37 mm zeigt. DoF-Vergleiche zwischen diesen Modellen bei gleichem Abstand beziehen sich daher auf unterschiedliche Bildausschnitte.
Die Tiefenschärfe-Formel
Die optische Tiefenschärfe (Depth of Field, DoF) eines Teleobjektivs ergibt sich aus:
H = f² / (N · c) (Hyperfokaldistanz)
DoF = 2d · (H − f) · (d − f)
─────────────────────────
(H − d) · (H + d − 2f)
Vereinfacht für d ≫ f: DoF ≈ 2 · N · c · d² / f²Gültigkeitsbereich: Die Näherung DoF ≈ 2·N·c·d²/f² überschätzt die Tiefenschärfe im Makrobereich erheblich, weil sie (d−f) durch d ersetzt. Der Fehler beträgt (d−f)/d: bei d/f = 11 (Smartphone, 9 mm @10 cm) nur −9 %, bei d/f = 3 (100-mm-Objektiv @30 cm) hingegen −33 %. Für alle Systemkamera-Berechnungen auf dieser Seite wurde daher die exakte Formel verwendet.
f = reelle Brennweite [mm];
N = Blendenzahl;
c = Unschärfekreis (Circle of Confusion, CoC) [mm];
d = Aufnahmeabstand [mm].
Die reelle Brennweite berechnet sich als f = KB-Äquivalenz / Cropfaktor, mit Cropfaktor = 43,3 mm / Sensordiagonale. Für beide Xiaomi-Modelle (fast identischer Sensor, 1/2,75–1/2,76") ergibt das:
- Xiaomi 14 (optisch 60 mm, vermarktet als 75 mm via 1,25×-Sensor-Crop): f ≈ 9,1 mm
- Xiaomi 17 (60 mm, voller Sensor): f ≈ 9,1 mm
Beide Xiaomi-Modelle haben dieselbe reelle Brennweite (f ≈ 9,1 mm) und dieselbe Optik. Der Unterschied liegt ausschließlich im digitalen Crop des Xi14: Das auf 75 mm beschnittene Bild nutzt effektiv nur 80 % der Sensorbreite, was den für die Tiefenschärfe maßgeblichen Unschärfekreis (CoC) von 4,4 µm auf 3,5 µm reduziert. Da der CoC im Nenner der DoF-Formel steht, ergibt ein kleinerer CoC weniger Tiefenschärfe. Das Xiaomi 17 bietet deshalb bei jedem Abstand konstant ca. 25 % mehr Tiefenschärfe als das Xiaomi 14 im Standard-75-mm-Modus. Wichtig für den Systemvergleich: Xiaomi 17 (60 mm, voller Sensor) bildet bei 10 cm ein ~46 mm breites Bildfeld ab, Xi14 im 75-mm-Modus dagegen nur ~37 mm. Vergleiche zwischen Xi14 und Xi17 bei gleichem Abstand sind daher kein äquivalenter Bildfeld-Vergleich. Xiaomi 14 (75 mm) und MFT bei 19 cm zeigen hingegen zufällig dasselbe Bildfeld (~37 mm) und sind direkt vergleichbar.
Wahl des Unschärfekreises: Verwendet wurde hier die konventionelle Formel c = Sensordiagonale / 1500 (für beide Xiaomis: c ≈ 4,4 µm). Dieser Wert basiert auf dem Goldmann-Standard für Abzüge im A4-Format bei 25–30 cm Betrachtungsabstand. Für pixel-genaue Schärfe (Betrachtung am Monitor 1:1) wäre der Pixelpitch (0,64 µm) als CoC anzusetzen – dann sind alle Werte ca. 7× kleiner. In der klinischen Praxis ist die konventionelle Formel der realistischere Maßstab.
Die effektiv nutzbare Auflösung nach Crop auf eine Referenz-Szene (42 × 32 mm, Sichtfeld des Xiaomi 14 im 75-mm-Modus bei 10 cm) berechnet sich als:
Eff. MP = native MP · (S_ref / FOV)² mit FOV = Sensorbreite · (d − f) / f (Sichtfeldbreite in mm)
Grafik: Tiefenschärfe und effektive Auflösung für Abstände 10–40 cm
Durchgezogene Linien = Tiefenschärfe in mm (linke Achse). Gestrichelte Linien = effektiv nutzbare Megapixel für die Referenz-Szene nach Crop (rechte Achse). Rote Linie = 3-MP-Mindestgrenze. Tabellendaten als CSV für LibreOffice Calc
Vergleich: Micro Four Thirds System (Kompromisslösung)
Das OM-D E-M5 III mit dem M.Zuiko 60 mm f/2,8 Macro. Im äquivalenten Vergleich (gleiches Bildfeld) hat MFT bei jeder Festblende mehr Tiefenschärfe als APS-C oder Vollformat – weil der kleinere Sensor einen kleineren Abbildungsmaßstab m erfordert und DoF ∝ (m+1)/m² gilt. Begrenzt wird dieser Vorteil durch die Beugungsgrenze bei f/11 und den Arbeitsabstand bei engen Ausschnitten. Die Berechnungen (Xiaomi 14 zum Vergleich, gleicher Abstand 19 cm / 10 cm):
| Parameter | Xiaomi 14 | OM-D E-M5 III + 60mm Makro |
|---|---|---|
| Sensordiagonale | 6,4 mm | 21,6 mm |
| Unschärfekreis (CoC) | 4,4 µm | 14,4 µm |
| Reelle Brennweite | 9,1 mm | 60 mm |
| KB-Äquivalent | 75 mm | 120 mm |
| Aufnahmeabstand (typisch) | 10 cm | 19 cm |
| Tiefenschärfe bei f/2,0 bzw. f/8 | 2,1 mm | 1,6 mm |
Erstaunliches Ergebnis: Trotz 6,6× längerer reeller Brennweite und deutlich größerem CoC liegt die Tiefenschärfe des MFT-Systems bei vergleichbarer Bildgröße (Kau-Frontzahn) in der gleichen Größenordnung wie beim Smartphone – etwa 1,6 mm. Der Grund: Das MFT-System wird bei 19 cm Abstand betrieben (vs. 10 cm beim Smartphone), und die längere Brennweite wird durch den größeren Abstand kompensiert.
Praktische Konsequenzen für das MFT-System:
- Bei f/2,8 (Offenblende) und 19 cm: nur ca. 0,6 mm Tiefenschärfe – praktisch unmöglich, einen Zahn scharf abzubilden
- Bei f/8 (empfohlene Arbeitsblende): ca. 1,6 mm Tiefenschärfe – gerade ausreichend für einen Frontzahn, aber knapp
- Bei f/11: ca. 2,2 mm Tiefenschärfe – deutlich mehr Spielraum, aber Diffraction-Grenze beachten
Fazit zum MFT-System: Das Micro-Four-Thirds-System erfordert präzise Fokussierung (daher Fokus-Peaking essentiell) und erreicht bei f/8–f/11 (Beugungsgrenze!) nur ca. 2–3 mm Tiefenschärfe. Für stressfreie Frontzahn-Fotografie bei Hektik ist das unzureichend. Der Vorteil liegt einzig in Gewicht (~590 g) und Preis – bei Akzeptanz des Fokussierungs-Aufwands.
Auswertung der Berechnungen
Was die Grafik zeigt
Das Xiaomi 14 und das Xiaomi 17 nutzen physikalisch dieselbe Optik (f ≈ 9,1 mm, f/2,0). Der Unterschied: Das Xi14 liefert im Standard-Modus ein auf 75 mm äquivalent beschnittenes Bild (32 MP), das Xi17 nutzt den Sensor vollständig für 60 mm (50 MP). Wegen des engeren CoC im 75-mm-Crop-Modus bietet das Xiaomi 17 bei jedem Abstand konstant ca. 25 % mehr Tiefenschärfe:
- bei 10 cm: Xiaomi 14 = 1,6 mm / Xiaomi 17 = 1,9 mm Tiefenschärfe
- bei 15 cm: 3,6 mm / 4,5 mm
- bei 20 cm: 6,5 mm / 8,1 mm
- bei 30 cm: 14,9 mm / 18,6 mm
Der Preis dafür ist ein weiteres Sichtfeld bei gleichem Abstand: Das Xiaomi 17 erfasst bei 10 cm eine 53 mm breite Szene, das Xiaomi 14 im 75-mm-Modus ca. 42 mm. Rechnet man beide auf dieselbe Referenzszene (42 mm) herunter, liefern sie identische effektive Pixelzahlen bei jedem Abstand (~32 MP @ 10 cm, ~13 MP @ 15 cm usw.) – der Crop des Xi14 kompensiert sich rechnerisch exakt. Der einzige verbleibende Unterschied ist die Tiefenschärfe zugunsten des Xi17.
Hinweis für GCam-Nutzer: Die Google Camera App (GCam, AGC8.8.224_V12.0_snap.apk) für das Xiaomi 14 zeigt den Tele-Zoom als 2,6× an – entsprechend der nativen optischen Brennweite von ~60 mm KB-Äquivalent ohne digitalen Crop. In diesem Modus nutzt das Xiaomi 14 den vollen 50-MP-Sensor und verhält sich in allen Kennwerten identisch zum Xiaomi 17: gleiche Tiefenschärfe, gleiche effektive Pixelzahl nach Crop, gleiche Referenzszene (~53 mm @ 10 cm). Die in der Grafik getrennten Xi14- und Xi17-DoF-Kurven gelten also ausschließlich für die Xiaomi-eigene Kamera-App (3,2×-Modus, 32 MP). Mit GCam fallen beide Kurven zusammen.
Der Vivo X300 liegt mit 50 MP, etwas größerem Sensor und Pixelpitch (0,80 µm) zwischen den beiden Xiaomis; sein Mindestabstand von geschätzt 15 cm engt die Flexibilität leicht ein.
Das Vivo X300 Ultra bietet mit 200 MP und Mindestabstand ~20 cm die meisten effektiven Pixel auf Distanz (@ 20 cm: 64 MP nach Crop), aber wenig Tiefenschärfe (2,9 mm @ 20 cm) – bedingt durch die sehr lange reelle Brennweite (22,4 mm) des 85-mm-Periskops.
Die „effektiven Megapixel" in der Grafik sind geometrische Pixel nach Crop – sie geben an, wie viele Sensorpixel auf die Referenzszene entfallen, nicht wie viel optisches Detail abgebildet wird. Zwei Effekte begrenzen die reale Auflösung zusätzlich:
- Beugungsbegrenzung: Der Airy-Disk-Durchmesser bei f/2,0 beträgt 2,44 × 0,55 µm × 2,0 ≈ 2,7 µm – das entspricht ca. 4 Pixelpitches (0,64 µm) des Samsung-JN-Sensors. Die Nyquist-Grenze des Sensors (781 LP/mm) liegt damit weit über der beugungsbegrenzten Auflösung (~370 LP/mm). Rein optisch entspricht das grob (370/781)² × 50 MP ≈ 11 MP an auflösbarem Detail.
- Bayer-Demosaicing: Das Bayer-Farbfilterarray liefert pro Pixel nur eine von drei Farben; die Luminanz-Auflösung beträgt daher realiter etwa 1/√2 bis 1/2 der Pixelzahl. Die „30 MP des Xiaomi-17-Crops" sind eher 30 MP an Datenpunkten als an echten Bilddetails.
- Pixel-Binning in der Praxis: Die Grafik rechnet mit der vollen Sensorauflösung (50 MP), weil das kameraübergreifend der einzig einheitliche Vergleichswert ist. In der Praxis liefert der Tele-Makro-Modus des Xiaomi 14 (und voraussichtlich des Xiaomi 17) typischerweise nur 12,5 MP, da die Kamera 2 × 2 Pixel per Binning zu einem zusammenfasst. Die gestrichelten Linien in der Grafik liegen damit in der täglichen Praxis etwa 4× höher als das tatsächlich gespeicherte Bild – beim Xiaomi 14 aus 10 cm Abstand z. B. ~12 MP statt der gezeigten ~25–50 MP. Für maximale Auflösung (z. B. bei guter Ausleuchtung, statischer Aufnahme) bieten viele Kamera-Apps einen expliziten 50-MP-Vollauflösungsmodus; ob dieser im Tele-Makro verfügbar ist, hängt vom jeweiligen Gerät und App-Version ab.
Fazit: Xiaomi 14 und Xiaomi 17 liefern bei gleicher Referenzszene identische effektive Pixelzahlen – das Xi14-Crop-Marketing bringt keinen Auflösungsvorteil. Das Xiaomi 17 ist in beiden relevanten Kategorien besser oder gleich: ~25 % mehr Tiefenschärfe bei jedem Abstand und volle 50-MP-Sensornutzung ohne versteckten Crop.
Beispielaufnahmen: Xiaomi 14, Tele, unbeschnitten (Modell)
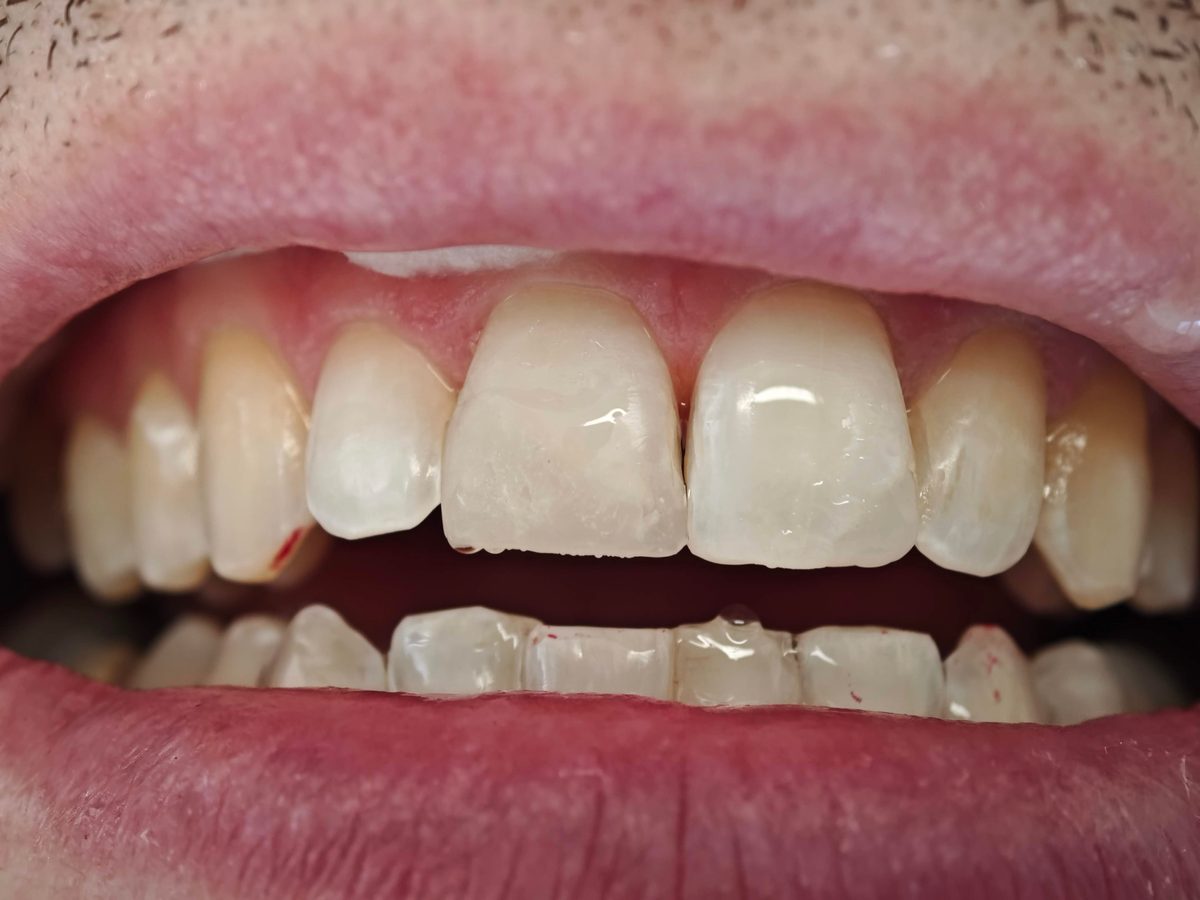
Die folgenden Aufnahmen entstanden mit dem Xiaomi 14, Tele 75 mm KB, Leica-Vibrant-Modus, Filter "natural", aus ca. 10–15 cm Aufnahmeabstand. Im Seitenbild rechts ist die Tiefenschärfenwirkung gut sichtbar: Zahn 24 (erster Prämolar oben links) liegt im Fokus, die vor- und hinterliegenden Zähne werden rasch unscharf.
Bilder anklickbar zum Vergrößern. Aufnahmen unbeschnitten (12,5 MP, 4:1-Binning-Modus).
Fiktive beugungsoptimale Blende – was wäre physikalisch möglich?
Die heutigen Telemakro-Smartphones haben eine Fixblende, die auf Lichtausbeute bei schlechtem Licht optimiert ist (f/2,0–f/2,67), nicht auf Tiefenschärfe. Für Makrofotografie unter guter Beleuchtung (Ringlicht, Blitz) wäre eine engere Blende vorteilhafter. Wo liegt die sinnvolle Obergrenze?
Das Kriterium: Die Beugung an der Blende erzeugt im Bildkreis einen Airy-Scheibchen-Durchmesser dAiry = 2,44 · λ · N (λ = 0,55 µm Grünlicht). Sobald dAiry den systemspezifischen Unschärfekreis (CoC) übersteigt, wird das Bild durch Beugung unschärfer, als es durch engere Blende schärfer wird. Die optimale Blende ergibt sich demnach aus:
Nopt = CoC / (2,44 · λ) (mit λ = 0,00055 mm)
Bei engerer Blende würde der Beugungsunschärfe den CoC übersteigen – das Bild wird zwar lichtschwächer und beugungsunschärfer, ohne Tiefenschärfe-Gewinn. Nopt ist also die physikalische Obergrenze für die sinnvolle Abblendung.
Beugungsoptimale Blenden und erreichbare Tiefenschärfe
| Kamera | CoC (µm) | Ist-Blende | Nopt (fiktiv) | DoF bei Mindestabstand | DoF bei 20 cm * | DoF-Gewinn |
|---|---|---|---|---|---|---|
| Xiaomi 14 (75 mm) | 3,5 | f/2,00 | f/2,61 | 1,5 mm → 2,0 mm @ 10 cm | 6,5 mm → 8,4 mm | +30 % |
| Xiaomi 17 (60 mm) | 4,4 | f/2,00 | f/3,28 | 1,9 mm → 3,2 mm @ 10 cm | 8,1 mm → 13,3 mm | +64 % |
| Vivo X300 (70 mm) | 5,4 | f/2,57 | f/4,05 | 3,3 mm → 5,2 mm @ 15 cm | 6,0 mm → 9,5 mm | +58 % |
| Vivo X300 Ultra (85 mm) | 7,6 | f/2,67 | f/5,68 | 2,9 mm → 6,1 mm @ 20 cm | 6,8 mm → 14,4 mm @ 30 cm | +113 % |
* Vivo X300 Ultra: Mindestabstand 20 cm; die letzte Spalte zeigt dort den 30-cm-Wert. – Die beugungsoptimale Blende Nopt ist die fiktive Fixblende, bei der Tiefenschärfe und Beugungsunschärfe gerade ausgeglichen sind (Airy-Scheibchen-Ø = CoC). Reale Kameras haben keine verstellbare Blende. DoF-Werte exakte Formel, Abstand vom Objektiv.
Grafik: Ist-Blende vs. beugungsoptimale Blende
Gestrichelte Linien = Tiefenschärfe mit der realen Fixblende. Durchgezogene Linien = Tiefenschärfe mit der jeweils beugungsoptimalen Blende Nopt. Gleiche Farbe = gleiche Kamera. Der Abstand zwischen gestrichelter und durchgezogener Kurve zeigt das physikalische DoF-Potential, das durch eine verstellbare Blende erschlossen werden könnte.
Was wäre möglich, wenn Smartphones für Makrofotografie optimiert wären?
Die oben berechneten Nopt-Werte beschreiben die äußerste sinnvolle Grenze bei der üblichen CoC-Formel (Sensordiagonale / 1500), die auf Abzüge im A4-Format bei 30 cm Betrachtungsabstand ausgelegt ist. Für die klinische Dokumentation auf einem Monitor mit normalem Betrachtungsabstand ist dieser Maßstab strenger als nötig – vertretbar wäre ein CoC, der 2× größer ist (Sensordiagonale / 750). Da Nopt proportional zum CoC steigt, verdoppelt sich auch die optimale Blende. DoF ∝ N·c; mit doppeltem c und doppeltem N ist das Ergebnis ein 4-fach größeres DoF-Fenster – gegenüber dem A4-Schärfekriterium. Konkret:
- Xiaomi 17 mit klinischem CoC (c ≈ 8,8 µm, 2×): Nopt,klin ≈ f/6,6 – DoF bei 10 cm ≈ 12,7 mm, bei 15 cm ≈ 29,7 mm (klinischer Maßstab).
- Vivo X300 Ultra mit klinischem CoC (c ≈ 15,2 µm, 2×): Nopt,klin ≈ f/11,4 – DoF bei 20 cm ≈ 24,6 mm, bei 30 cm ≈ 58 mm (klinischer Maßstab).
Diese Werte wären für eine vollständige Frontzahn- oder Seitenzahndokumentation klinisch sehr gut nutzbar. Was würde dazu technisch gebraucht?
- Verstellbare Blende (Irisblende) im Telemakro-Strahlengang. Einzelne Luxus-Smartphones (z. B. Konzeptprototypen) haben das erprobt; die Implementierung beim Hauptobjektiv ist aufwändiger als beim Teleobjektiv, aber prinzipiell möglich. Nachteil: Fertigungskosten, mechanische Anfälligkeit.
- Alternative: Fixblende bei Nopt,klin ab Werk. Statt f/2,0 ein auf f/4–f/6 festgelegtes Telemakro. Nachteil: deutlich weniger Licht in anderen Einsatzszenarien; akzeptabel für klinische Nutzung mit Ringlicht, ungünstig für Alltagsfotos bei Dämmerlicht.
- Ring-LED oder Ringblitz. Makrofotografie mit engerer Blende braucht mehr Licht. Ein aufsteckbares Ringlicht (schon heute erhältlich, unter 30 €) eliminiert diesen Nachteil vollständig und verbessert gleichzeitig Farbkonstanz und Schattenwurf.
Ein 100-mm-Makroobjektiv auf APS-C-Kamera (f/22, Ringblitz) erzeugt für dasselbe 52-mm-Sichtfeld wie das Xiaomi 17 bei 10 cm eine Tiefenschärfe von ca. 5,9 mm – fast doppelt so viel wie das Xiaomi 17 bei seiner beugungsoptimalen Blende f/3,28 (3,2 mm).
Aber: Gilt nicht „kleinerer Sensor = mehr Tiefenschärfe"? Diese Faustregel stimmt – jedoch nur beim Vergleich bei gleicher Blendenzahl. Ein Smartphone und eine Vollformatkamera, beide auf f/2,0 gestellt und auf dasselbe Sichtfeld eingestellt, würden dem Smartphone tatsächlich mehr Tiefenschärfe liefern. Hier vergleichen wir aber f/22 (DSLR) mit f/3,28 (Smartphone). Die Rechnung besteht aus drei Faktoren:
| Faktor | Xiaomi 17 | 100-mm-Makro APS-C | Vorteil (DoF) |
|---|---|---|---|
| Blende N | f/3,28 | f/22 | +6,7× für DSLR |
| Unschärfekreis c (Sensordiag./1500) | 4,4 µm | 19 µm (APS-C) | +4,3× für DSLR |
| Abbildungsmaßstab m (bei gleichem Sichtfeld) | 0,10× (aus 10 cm) | 0,45× (aus 32 cm) | +20× für Smartphone (DoF ∝ 1/m²) |
Der größere Sensor schadet also nicht – er erlaubt es, mit f/22 auf Pixelebene trotzdem ein scharfes Bild zu liefern (weil der CoC 4,3× größer ist), während das Smartphone bei f/22 wegen Beugung komplett unscharf wäre (Airy-Scheibchen wäre 10,7 µm, 2,4× größer als der CoC von 4,4 µm). Nicht die Sensorgröße allein entscheidet, sondern das Zusammenspiel aller drei Faktoren.

































