Kombiarbeiten & Prothesen

Ein Klick auf das Praxislogo bringt Sie immer zur 1. Seite zurück.

Besonderen Spaß macht mir großer, kombiniert festsitzend-herausnehmbarer Zahnersatz (sogenannter Kombi-Ersatz), auch mit Implantaten, weil er interessante Herausforderungen an den Behandler stellt. Diese Behandlungen sind oft langwierig, weil ein Behandlungsschritt auf dem anderen aufbaut: Häufig Parodontaltherapie, Wurzelkanalbehandlungen, Füllungstherapie, Implantate, erst am Ende Zahnersatz. Ob der Fall zur Zufriedenheit des Patienten gelöst werden konnte, stellt sich dann oft erst nach Monaten heraus. Hier ein einfacher Fall, bei dem keine besondere Vorbehandlung notwendig war. Der Patient, 58jährig, suchte die Praxis erstmals im September 2005 auf. Es erfolgten mehrere prothetische Planungen, der Gutachter des "Medizinischen Dienstes der Krankenkassen" (MDK) wurde noch von der Krankenkasse in Anspruch genommen, was heute bei größeren Planungen der Regelfall geworden ist. Umgesetzt wurde dann eine für einen solch großen Fall preisgünstige Lösung von 6434 Euro Gesamtkosten (4264 € Laborkosten, 2170 € Honorar). Die Krankenkasse übernahm als Festzuschuß 3843 €, für den Patienten verblieben 2591€. Im Januar 2006 ging es dann endlich los - zunächst allerdings beim Kieferchirurgen, weil wegen einer erhöhten, medikamentös bedingten Blutungsneigung es sicherer erschien, einige Zahnentfernungen von diesem durchführen zu lassen. Ausgangsbilder:
OPG aus 10/2003
Die Bilder können alle angeklickt werden!

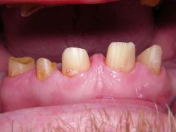
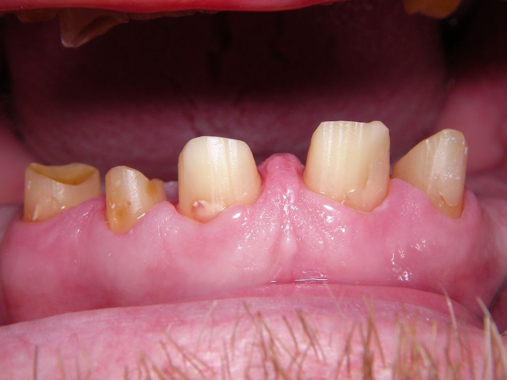
Das Hauptproblem dieses Falles lag im Oberkiefer - die über die Jahrzehnte abgeknirschten, kurzen Zähne erschweren Kronen, die durch eine Prothese belastet werden können. Die gewählte Lösung besteht darin, die Zähne nur rundherum zu beschleifen, aber nicht mehr zu kürzen und die Prothese mit einem Druckknopfsystem an die Zähne anzukoppeln, das ein "Spiel" aufweist, so daß die Prothese nicht als Hebelarm auf die schwachen Restzähne wirken kann. Rechts die beschliffenen Zähne kurz vorm Zementieren der Kronen.
Oberkieferrestzähne von vorne
Oberkieferrestzähne in Aufsicht
Oberkiefer vorm Zementieren
Oberkiefer von innen
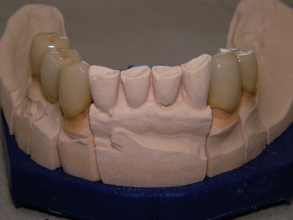
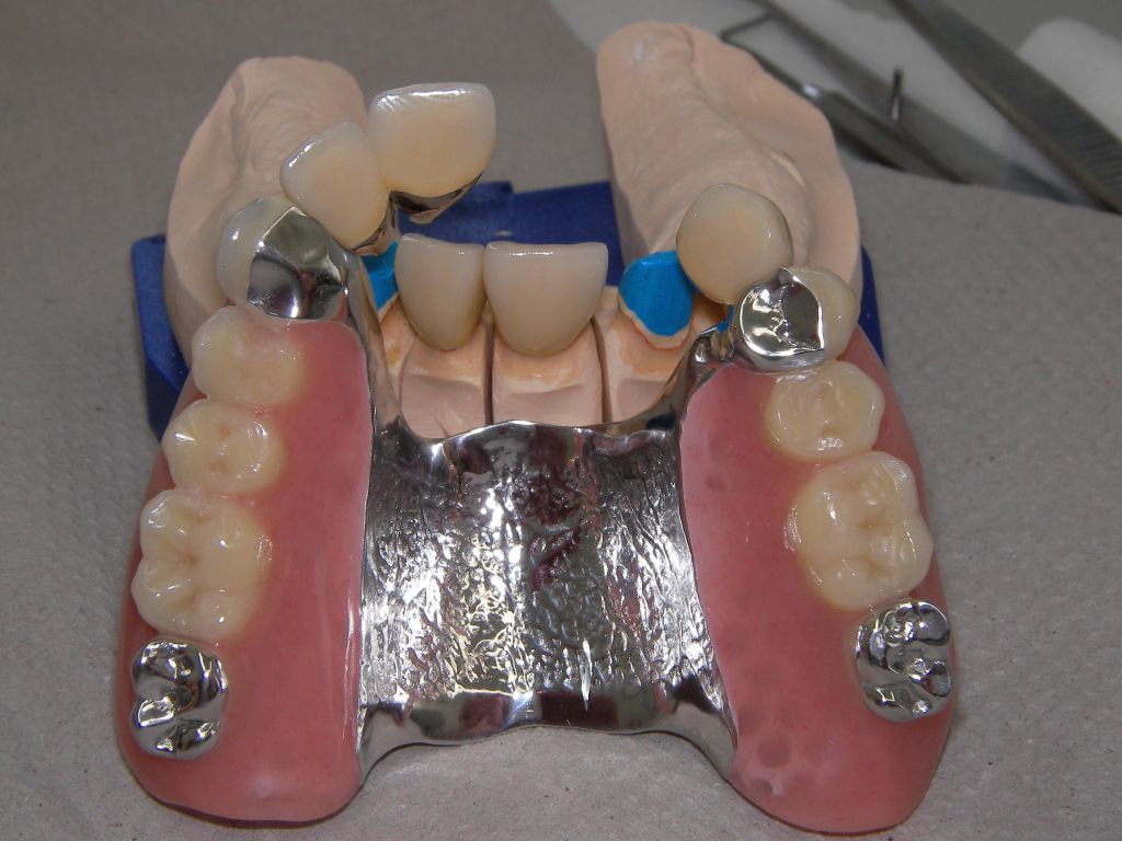
Links das Bild zeigt das Metallgerüst, das später mit Keramik verblendet wurde. Um eine einfache Mundhygiene ebenso wie eine hohe zahntechnische Präzsion zu erreichen, wurden risikobehaftete Verblockungen minimiert. Rechts die Ästhetikeinprobe bei entspannter Oberlippe.
Ästhetikeinprobe, entspannte Oberlippe
Oberkiefer von vorne
Unterkiefer von vorne
Links Bilder des Oberkiefers, rechts des Unterkiefers. Die Arbeit wurde von dem Dentallabor "Heitmeyer Zahntechnik", Osnabrück, gefertigt. Dem Labor ist hier für die hervorragende Arbeit zu danken, dem Patienten für die Freigabe der Bilder!
Oberkiefer v. innen, Titankugeln
Unterkiefer von innen
Oberkiefer von Unterseite
Die Unterseite, die später der Mundschleimhaut aufliegt, ist im Bereich der Druckknöpfe hochglanzpoliert und damit gut pflegbar, was wichtig für gesundes Zahnfleisch an diesen Stellen ist. Das Kugelattachment (Druckknopf) ist das Preci-Clix (Fa. Ceka).
Unterkiefer von Unterseite
Die Zähne auf der Prothese sind aus verarbeitungstechnischen Gründen auch heute meist noch aus Kunststoff, auch wenn teurere Keramikzähne möglich wären. Kunststoff verschleißt über die Jahre, der Biß verändert sich. Um letzteres zu verhindern, sind hier zusätzlich Metallkauflächen eingearbeitet, die sich nicht verändern werden.

Auch Verbindungselemente verschleißen. Um den Verschleiß reparieren zu können, sollte der Verschleiß aus dem Mund in die Prothese gelenkt werden. Im Mund deshalb hier 4 harte Titankugeln, die passenden Druckknöpfe in der Prothese aus Kunststoff, wo sie leicht ausgewechselt werden können.
Oberkiefer in Aufsicht
Unterkiefer in Aufsicht
OK-Unterseite mit Druckknöpfen
Druckknopf Preci-Clix
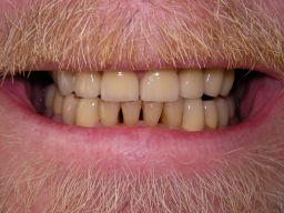
Hier das vorläufig letzte Bild dieses Falles mit maximaler Lippenöffnung einige Tage nach Eingliederung von Kronen und Prothesen bei der Nachkontrolle (Ende März 2006). Bislang lief, von einigen anfänglichen Prothesendruckstellen abgesehen, die aber leicht behoben werden konnten, alles glatt. Die Heiß-/Kaltempfindlichkeiten an den beschliffenen Zähnen, die häufig auftreten, waren nach der Zementierung der Kronen verschwunden. Die eigentliche prothetische Behandlung dauerte vom 22.2.06 bis zum 20.3.2006 (nur 5 Sitzungen), also 4 Wochen und war damit recht zügig. Ähnliche Fälle können auch 6 Wochen dauern.
Forciertes Lächeln

 

← Zurück zum Behandlungsspektrum