Präendodontischer Stiftaufbau
Ein Klick auf das Praxislogo bringt Sie immer zur 1. Seite zurück.

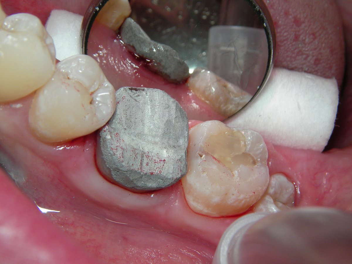
Zur Verankerung werden kleine Schrauben (Dentinstifte) in das verbleibende Dentin eingedreht. Sie ragen aus dem Zahn heraus und geben der Aufbaufüllung zusätzlichen Halt. Als Aufbaumaterial bewährt sich Amalgam durch seine sichere Verarbeitung und Festigkeit (1).
Die Bilder sind alle zur Vergrößerung anklickbar!

Das Aufbaumaterial wird schichtweise eingebracht und zwischen den Stiften kondensiert. Ziel ist eine geschlossene, ausreichend hohe Zahnwand, die später der Kofferdamklammer Halt gibt.


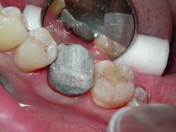
Die fertige Aufbaufüllung aus Amalgam. Der Zahn hat nun wieder ausreichend Wandhöhe. Erst jetzt ist die Voraussetzung für eine kofferdamdichte Wurzelkanalbehandlung erfüllt.

Nach Anlegen des Kofferdams wird die Zugangskavität durch die Aufbaufüllung hindurch in die Pulpakammer gebohrt. Jetzt kann sauber und trocken gearbeitet werden.

Farbkodierte Guttaperchastifte unterschiedlicher Größen stecken als Wurzelfüllung in den Kanälen.

Nach abgeschlossener Wurzelkanalbehandlung wird der Zugang sofort dicht verschlossen – hier mit Amalgam. Ein dichter Koronalverschluss ist entscheidend für den Langzeiterfolg der Wurzelkanalbehandlung.


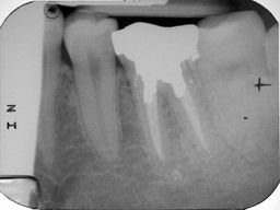
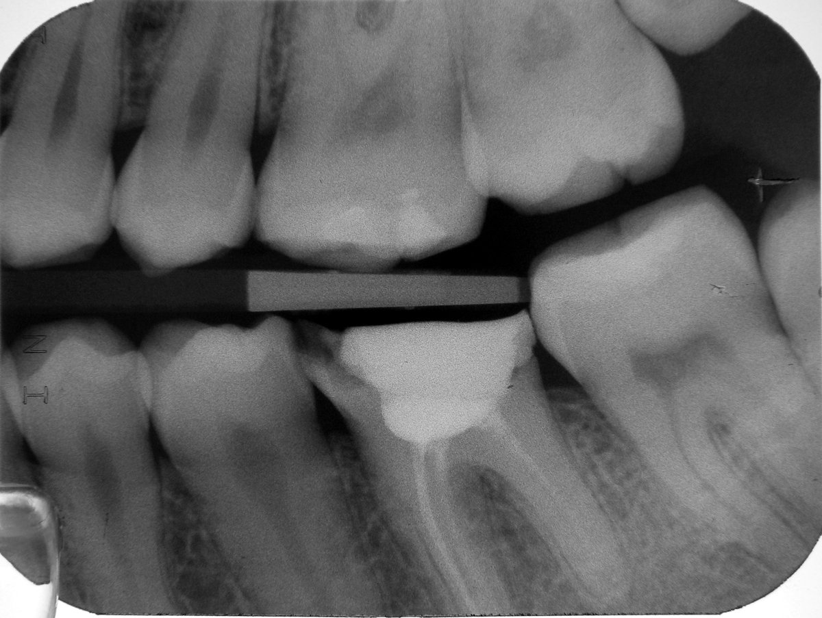
Das Röntgenbild nach Abschluss zeigt die vollständig gefüllten Wurzelkanäle sowie das in die Kanäle eingepreßte Amalgam zur Verankerung der Füllung.
(1) Auch heute (3/2026) läßt sich m. E. dieses Vorgehen trotz EU-Anwendungseinschränkung für Amalgam vertreten, denn Kompositaufbauten sind in solchen Situationen materialbedingt nicht so erfolgreich wie Amalgam. Insgesamt sind solche Versorgungen aber selten, weil bei nur etwas weiter fortgeschrittener Zerstörung die Prognose zu unsicher wird und dann, wie hier bei weitgehend intakten Nachbarzähnen, nach Zahnentfernung ein Implantat die bessere Lösung ist.
