| | | | | | | | | | | | | | | | | | | | | | | | | | | | | | | | | | | | | | | | | | | | | | | | | | | | | | | | | | | | | | | | | | | | | | | | | |
| |
|
| |
Ein Klick auf das Praxislogo bringt Sie immer zur 1. Seite zurück. | |
|
| |
|
 | |
Die keramisch verblendete Metallkrone ist seit Jahrzehnten eine bewährte Standardtechnik. Im Gegensatz zur mit Kunststoff verblendeten Metallkrone bleibt die Farbe unverändert, es gibt fast keine Abnutzung und nur selten Keramikbrüche. | |
|
|
|
|
|
|
|
|
| |
|
Eine Vollkeramikkrone (Keramik ohne Metallunterbau) ist demgegenüber bruchanfälliger. Der Vorteil der Vollkeramikkrone ist allerdings, daß bei Rückgang des Zahnfleisches auch nach vielen Jahren kein dunkler Metallrand sichtbar werden kann. Allerdings kann man diesen Metallrand auch sehr schmal gestalten, wie das folgende Beispiel zeigt. Wegen der starken Zerstörungen mußte der Kronenrand tief unter das Zahnfleisch gelegt werden. Das ist einerseits ungünstig, weil es Zahnfleischentzündungen fördern kann (die hier aber nicht zu sehen sind), andererseits günstig, weil nicht zu befürchten ist, daß das Zahnfleisch so weit zurückgehen wird, daß man den Kronenrand sehen wird. Wenn man nicht so weit unter das Zahnfleisch mit dem Kronenrand gehen muß und mehr Platz hat, kann man auch einen keramischen Rand (eine "keramische Stufe") wählen. Das erhöht die Laborkosten, aber man hat die Sicherheit, daß es langfristig keinen sichtbaren Metallrand geben kann. Auch eine Vollkeramikkrone ist natürlich möglich. Oft ist nach vielen Jahren aber gar nicht die Krone das Problem, sondern die dunkle Zahnwurzel, die vom Zahnfleisch entblößt wird. Wie man unten sieht, sind insbesondere wurzelbehandelte Zähne sehr dunkel. Hier hilft dann doch nur wieder, mit dem Kronenrand tief unter das Zahnfleisch zu gehen, um die dunkle Wurzel abzudecken. Patient, 67 Jahre. Die Bilder sind alle zur Vergrößerung anklickbar! |
|
|
|
|
|
|
|
|
|
|
|
|
|
|
|
|
|
|
|
|
|
|
|
|
|
|
|
|
|
|
|
|
|
|
|
|
| |
| |
 |
| |
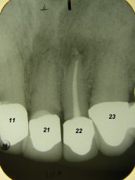
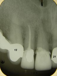
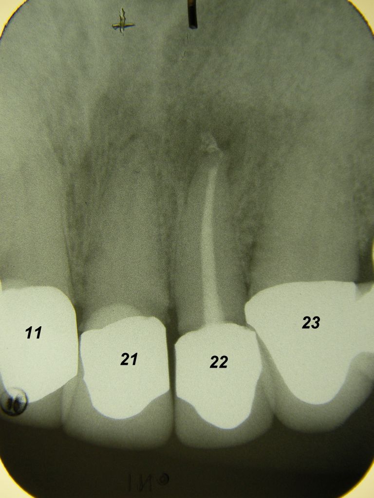
Das etwas dunkle Röntgenbild links(6/2003) zeigt diverse Probleme. Hier interessiert, daß der Zahn 22 (sprich: "zwei", "zwei") am 28.10.05 Schmerzen bereitete, weil der Zahnnerv unter Eiterbildung abgestorben war. Es brauchte 3 medikamentöse Einlagen, bis der Zahn ruhig war und am 18.11.05 eine Wurzelfüllung und einen Titanstift in den Wurzelkanal bekommen konnte. Bei der anschließenden Röntgenkontrolle rechts fiel der schlechte Randschluß der Krone 22 auf. |
|
 |
|
|
|
|
|
|
|
|
|
|
|
|
|
|
|
|
|
|
|
| |
|
|
 | |
|
|
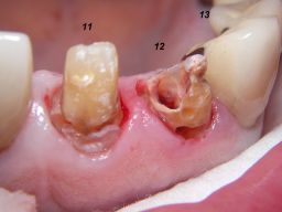
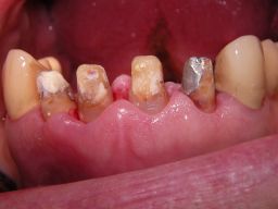
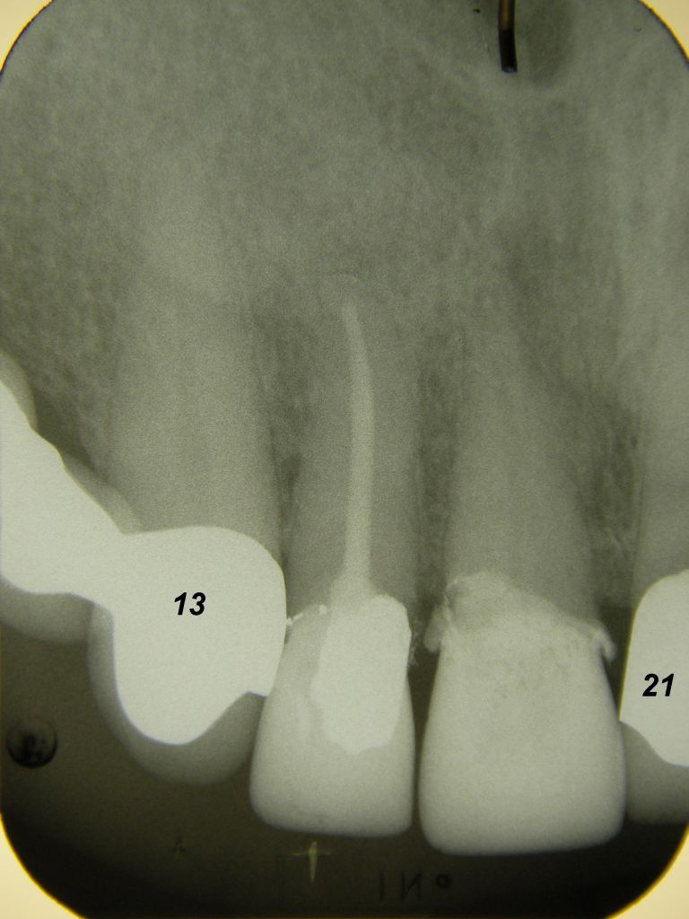
Weil auch die anderen Schneidezahnkronen (12-22) durch Randreparaturen und den schlechten Randschluß erneuerungsbedürftig aussahen, wurden 4 Einzelkronen geplant. Vorher hieß es aber noch, die schlechte Wurzelfüllung im Zahn 12 (Röntgenbild links) besser zu machen. Hierfür wurden am 17.2.06 die alten Kronen 11 und 12 entfernt. Rechts das Bild nach Entfernung von alten Füllungen und Karies. | |
|
|
 |
|
|
|
|
|
|
|
|
|
|
|
|
|
|
|
|
|
|
|
| |
|
|
|
 | |
 |
|
|
|
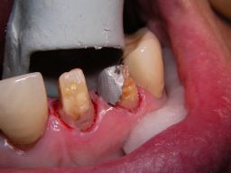
Links nach Wurzelfüllung beim Einpassen des Titanstiftes. Rechts dann der schon provisorisch beschliffene Amalgamaufbau im Zahn 12. |
|
|
|
|
|
|
|
|
|
|
|
|
|
| |
|
|
|
 |
Der Abschluß der Sitzung am 17.2.06 waren 2 provisorische Kronen auf Zahn 11, 12. Das provisorische Material war hier wegen der besseren Farbanpassung Herculite XRV. Rechts sieht man auch die alten Kronen 21 und 22 und die von mir früher reparierten Randdefekte. |
 |
|
|
|
|
|
|
|
|
|
|
|
|
|
|
|
|
|
|
| |
| |
 | | |
|
|
Links das Kontrollfoto nach der Sitzung am 17.2.06. Damit war die Vorbehandlung in diesem Fall abgeschlossen. | |
|
|
|
|
|
|
|
|
|
|
|
|
|
|
|
|
|
| |
|
|
|
| |
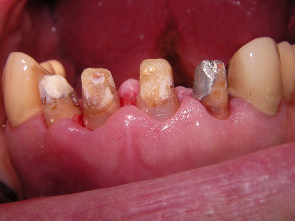
Am 28.2.06 erfolgte die endgültige Präparation (das "Beschleifen") aller 4 Zähne. Links das Modell, auf dem die Kronen gefertigt worden waren. Rechts kurz vorm Zementieren der Kronen am 13.3.06. Aus der Längendifferenz der Zähne rechts und links kann man darauf schließen, daß die Präparation tief unter dem Zahnfleisch erfolgen mußte. |
|
|
|
 |
 | |
|
|
|
|
|
|
|
|
|
|
|
|
|
|
|
|
|
|
|
|
 | |
 |
|
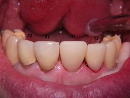
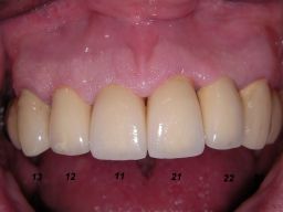
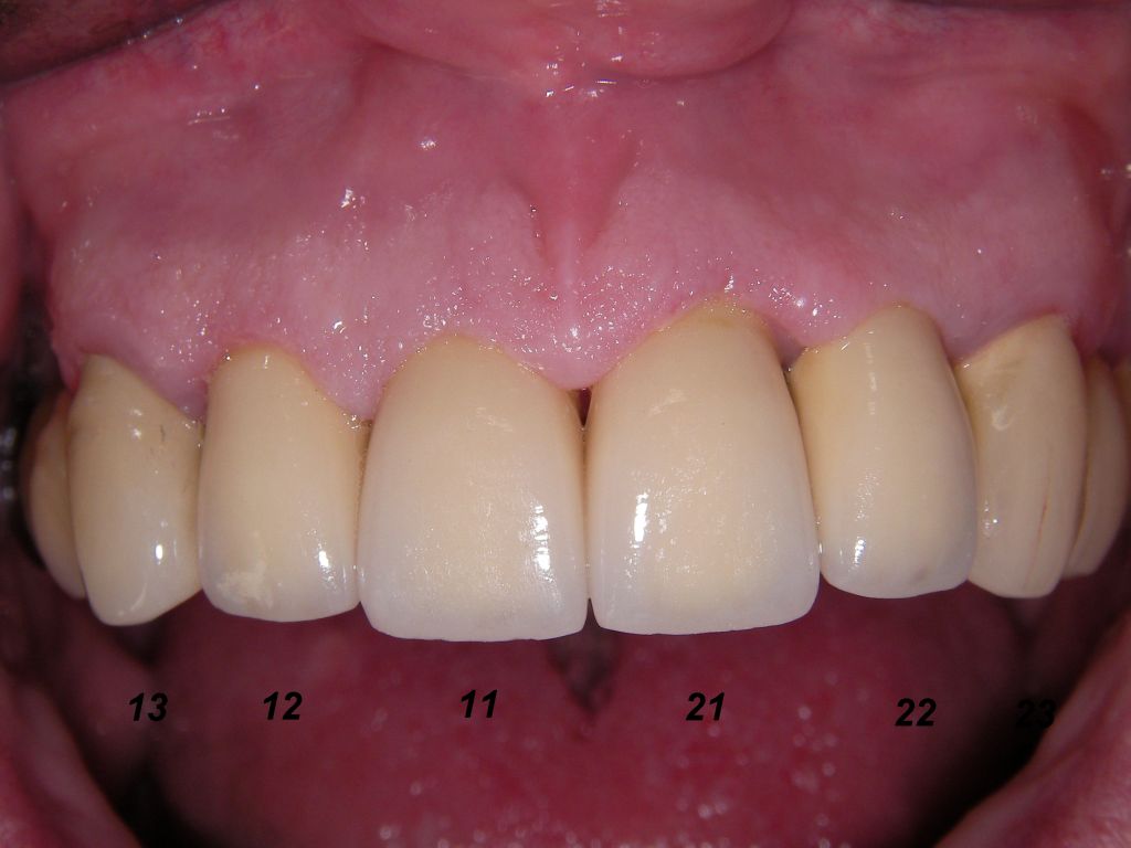
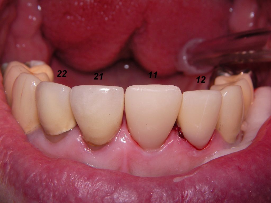
Links die Kronen aus dem Dentallabor "Heitmeyer Zahntechnik", Osnabrück. Man sieht praktisch keinen Metallrand. Der Patient war zur Farbbestimmung im Dentallabor - so halten wir es praktisch immer. Rechts das Ergebnis bei der 1. Nachkontrolle am 27.3.05. Das Zahnfleisch muß sich noch etwas erholen. |
|
|
|
|
|
|
|
|
|
|
|
|
|
|
|
|
|
|
| | |