|
Ein Klick auf das Praxislogo bringt Sie immer zur 1. Seite zurück. | |||||||||||||||||||||||||||||||||||||||||||||||||||||||||||||||||||||||||
![]() | Neben Amalgamfüllungen sind sicher Kunststofffüllungen die häufigsten Versorgungen in meiner Praxis (weiter unten ein paar Fälle!). Kunststofffüllungen heißen auch Composite-, Komposit- oder Kompositionsfüllungen und nur fälschlicherweise "Keramikfüllungen". | ||||||||||||||||||||||||||||||||||||||||||||||||||||||||||||||||||||||||
|
"Kompositionsfüllungen" deshalb, weil es sich um Kompositionen, also komplizierte Zusammensetzungen aus verschiedenen Stoffen handelt, nämlich vor allem aus feingemahlener Keramik und aus einem zunächst weichen Kunststoff, der diese Keramikpartikel zusammenhält und durch blaues Licht erhärtet wird. Das von mir seit ca. 1998 verwendete Herculite XRV, ein Mikrohybrid mit 0,6 Mikrometer durchschnittlicher Partikelgröße, enthält zu ca. 79 % (vom Gewicht) gemahlene Keramik. Von der Zusammensetzung her enthält also das Material mehr Keramik als Kunststoff. Trotzdem bleibt es vom Verschleißverhalten her ein Kunststoff. D. h., es gibt Abnutzung, Verfärbung und Schrumpfung, wie sie nun einmal für Kunststoff typisch sind, nicht aber für eine reine Keramik. Wenn manche meiner Patienten Recht haben, gibt es Kollegen, die Kompositfüllungen als "Keramikfüllungen" verkaufen. Diese Kassenpatienten sind dann meist enttäuscht, wenn ich darauf hinweise, daß es für unter 100 Zuzahlung keine Keramikfüllung gibt. Eine reine Keramikfüllung kommt nicht ohne Abdruck aus. Die Füllung muß außerhalb des Mundes hergestellt werden, wird dann in den Zahn eingeklebt, was insgesamt so aufwendig ist, daß Kosten von einigen hundert pro Keramikfüllung enstehen müssen. Ist nun die echte Keramikfüllung deutlich besser als die Kunststofffüllung (mit hohem Keramikpulveranteil), wo sie doch ein mehrfaches kostet? Wir wissen es nicht, weil es darüber nicht genug klinische Studien gibt, die länger als 5 Jahre, besser noch 10 Jahre gelaufen wären. Unten ein paar Fotos aus dem laufenden Betrieb. Alle Füllungen sind aus Herculite XRV, eines der am besten nachuntersuchten Kompositmaterialien. Unter den vielen Studien zu dem Material sind leider nur wenige, die wirklich etwas zur Langzeitbewährung sagen. Nach meiner nun 8jährigen Erfahrung mit dem Composite kann ich feststellen: Es gibt Verschleiß, aber der bleibt gering, ebenso wie problematische Verfärbungen selten sind, so daß Herculite XRV sich insgesamt bewährt hat. An den Frontzähnen für Kassenpatienten ohne Zuzahlung, am Seitenzahn Zuzahlung je nach Größe zwischen 30 und 68 (Stand 04/2006). Es mag vereinzelt Kollegen geben, die weiße" Füllungen in Backenzähnen ohne Zuzahlung erbringen. Meiner Einschätzung nach wird das in der Regel aber eine Kompomerfüllung oder sogar nur eine noch weniger haltbare Zementfüllung sein. Kompomer ist ein weißes Material, das von der Industrie für schnelle Verarbeitung optimiert wurde. Die Langzeithaltbarkeit ist aber deutlich schlechter als bei Kompositfüllungen. Die Unterschiede zeigen sich nach einigen Jahren. Kompomer wäscht aus, nutzt sich stärker ab, verfärbt sich und muß dann früher ersetzt werden. Für Füllungen in Milchzähnen, also über nur einige Jahre und bei nur geringer Kaubelastung, hat sich Kompomer hingegen bewährt, so daß ich es dort als häufigstes Material einsetze. Für große oder tiefe Defekte sind aber wiederum Amalgam oder Kinderstahlkronen haltbarer. Wie ich auf der Amalgamseite diskutiert habe, verwende ich Kunststoff in sehr großen Defekten in Backenzähnen nicht. Je größer und tiefer dort die Kunststofffüllung ist, desto schlechter die Langzeithaltbarkeit, desto größer das Risiko für den Zahnnerven. Gegen Kunststofffüllungen gibt es übrigens häufiger Allergien als gegen Amalgam, und leider wachsen auch Bakterien unter Kunststoff deutlich besser als unter Amalgam, wie man in dieser Übersicht nachlesen kann. Als erstes ein 67jähriger Schokoladenliebhaber: Die Bilder sind alle zur Vergrößerung anklickbar! | |||||||||||||||||||||||||||||||||||||||||||||||||||||||||||||||||||||||||
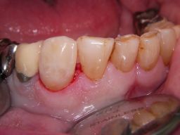
![]() | Der Eckzahn (Zahn 43) in der Mitte des Bildes zeigt an mehreren Stellen am Füllungsrand schwarze Karies, wie man hier aus verschiedenen Perspektiven sieht. Der Zahn rechts daneben auf dem Foto (Zahn 42) zeigt eine schwarze Randverfärbung einer älteren Kunststofffüllung. |
![]() | |||||||||||||||||||||||||||||||||||||||||||||||||||||||||||||||||||||||
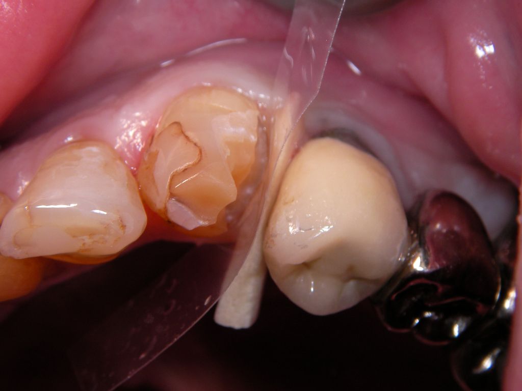
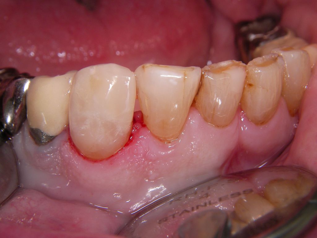
![]() | Von den 3 Kompositfüllungen des Zahnes sollen die beiden zu den Nachbarzähnen hin, rechts und links ("mesial" und "distal"), ersetzt werden. Ich habe das nacheinander gemacht, weil die Füllungen jeweils sehr groß waren und sonst die Situation schwieriger zu kontrollieren gewesen wäre. |
![]() | |||||||||||||||||||||||||||||||||||||||||||||||||||||||||||||||||||||||
![]() | |||||||||||||||||||||||||||||||||||||||||||||||||||||||||||||||||||||||||
|
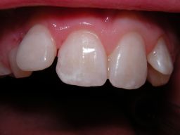
Links das Ergebnis am rechten Eckzahn im Unterkiefer nach Ersatz beider Füllungen. Am benachbarten Zahn 42 wurde die Rand- und Füllungsverfärbung einfach durch Politur entfernt - eine Erneuerung der Füllung war nicht notwendig. Eine Zuzahlung für den Kassenpatienten ist hier nicht angefallen. Alle Defekte des Eckzahnes zusammengenommen sind so groß, daß man sicherlich auch eine Krone hätte vertreten können. | |||||||||||||||||||||||||||||||||||||||||||||||||||||||||||||||||||||||||
| Hier ein weiterer Fall, ein junges Mädchen nach einem Schulunfall: | |||||||||||||||||||||||||||||||||||||||||||||||||||||||||||||||||||||||||
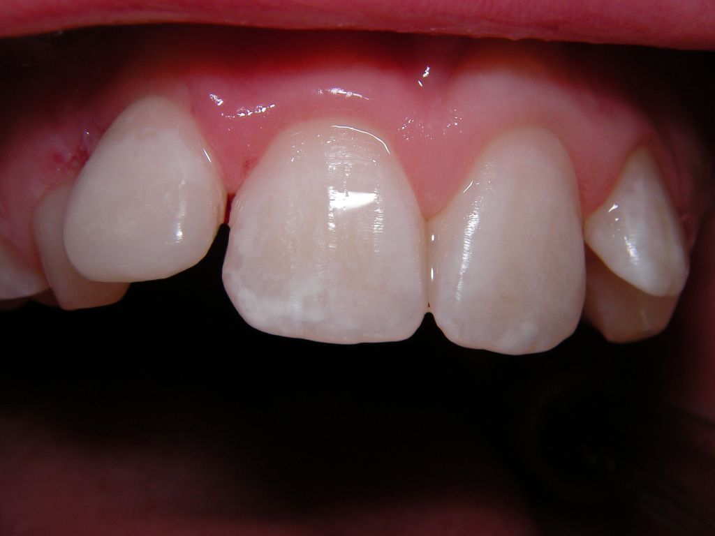
![]() | Das Kind kam nach dem Unfall in die Praxis. Der Zahn war heiß-/kaltempfindlich und wurde erst einmal über ein paar Wochen mit einem provisorischen Zement versorgt. Die Beschwerden klangen ab, dann erfolgte die endgültige Füllung (ohne Zuzahlung), siehe rechts. Eine langfristige Alternative wäre hier eine keramische Verblendschale (Veneer), aber dafür ist das Kind aktuell zu jung. |
![]() | |||||||||||||||||||||||||||||||||||||||||||||||||||||||||||||||||||||||
| Schließlich eine 22jährige, junge Dame, die trotz Aufklärung über die vermutlich etwas eingeschränkte Haltbarkeit eine weiße Kompositfüllung statt Amalgam wollte: | |||||||||||||||||||||||||||||||||||||||||||||||||||||||||||||||||||||||||
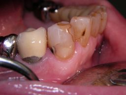
![]() | Am Ende waren es sogar 3, nicht nur 2 Füllungen (wer sieht die 3.?). Das grüne Latexgummi ist Kofferdam (=Spanngummi), der manchmal die Arbeit erleichtert, weil er den Speichel fernhält. Zuzahlung für die Kassenpatientin 2 * 30 . Mit Speichelfilm sind solche Füllungen im Alltag nicht mehr zu erkennen. |
![]() | |||||||||||||||||||||||||||||||||||||||||||||||||||||||||||||||||||||||